电话:029-87679000(总机)
地址:陕西省西安市西五路157号
邮编:710114
网址:www.2yuan.xjtu.edu.cn
7月6日,在医院“加快学科体系建设”的政策指引下,普通外科通过讨论和集体决议,在原有三个病区的基础架构上正式划分了“胃肠、肛肠疝外科”、“肝胆胰脾外科”及“甲状腺、血管外科”三个专业学科组。各学科组将在短暂的过渡期后,完成“专病专治”的专科病区建设。
肝胆胰脾外科组是在原普通外科二病区的基础上成立,下设四个专业医疗组。各医疗组在1周内初步完成了病床整合及专业转型。在陆宏伟教授的带领下,该医疗小组的杨屹副主任医师、卢乐主治医师及黄晶晶住院医师等已完成了包括复杂肝胆恶性肿瘤、胰腺肿瘤及胆石症等开腹及腔镜手术5例。其中解剖性右半肝切除2例,腹腔镜下胰体尾切除1例,腹腔镜下复杂胆石症手术治疗2例。

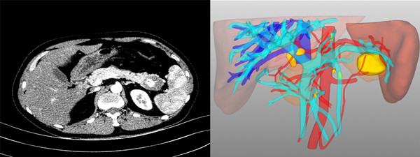
患者1,男,40岁,诊断“原发性肝癌(术后复发)”。术前评估:全身评估及营养评估未见异常;肝功能Child-Pugh-Turcotte分级A级,ICGR15 5.7%;考虑患者系既往解剖性肝段切除后肿瘤复发,故选择解剖性右半肝切除。病灶及可切除性评估:肿瘤位于肝右后叶,毗邻右肝静脉;门静脉无变异(A型),肝动脉无变异,肝静脉无变异;肝内胆管无扩张;患者总肝体积1435.09ml,标准肝体积1314.17mL,右半肝体积523.04mL,左半肝体积占标准肝体积的69.4%(标化余肝率,Rsr),按照《精准肝切除术专家共识(2017版)》要求,患者标化必须余肝率(Rse)为40%

患者2,男,44岁,诊断“原发性肝癌”。术前评估:全身评估及营养评估未见异常;肝功能Child-Pugh-Turcotte分级A级,ICGR15 0.6%;病灶及可切除性评估:肿瘤位于肝脏V-VIII段,约8*7.5*7.5cm大小,侵犯肝右静脉中远端及相应肝段Glisson系统;门静脉无变异(A型),右肝动脉发自肠系膜上动脉,裂静脉与肝中静脉根部共干;肝内胆管无扩张;拟行解剖性右半肝切除术,患者总肝体积1877.27ml,标准肝体积1191.08mL,右半肝体积1126.23mL,左半肝体积为751.04,Rsr为63.1%,结合当前患者肝功能及ICGR15水平,Rse为40% 患者3,男,36岁,诉“发现胰体尾占位1周”,术前诊断“胰体尾实性假乳头状瘤”。患者因颈椎病,在骨科住院查出胰腺占位性病变,转入我科治疗,术前评估:全身评估及营养评估未见异常;肝肾功正常:肿瘤位于胰尾部近脾门处,经三维重建后,可见脾动脉及脾静脉分两支型,紧紧包绕肿块,决定腹腔镜下行胰体尾联合脾脏切除。术中探查见上脾门区致密粘连,给手术来带了一定的困难和挑战。凭借术中三维精准导航和精细的手术解剖,胰体尾及脾脏被顺利切除。手术历时2.0h,术中出血约50mL,目前患者恢复良好,拟于近日出院。 术后在谈及专业划分后一周的肝胆胰外科工作时,陆宏伟教授表示,肝胆胰外科手术操作犹如荒野探险,术前永远无法完全把握未知的前方有哪些解剖变异和挑战等待着你,因此只能通过术前精准的治疗规划、术中结合影像学进行精细的外科操作和术后精心的个体化管理,使患者最大程度的获益。 陆宏伟教授师从于我国著名肝胆胰外科专家董家鸿院士,对于肝胆胰良恶性肿瘤和胆管扩张症的精准诊疗及肝脏移植术具有丰富经验。目前陆宏伟教授团队已与北京清华长庚医院董家鸿院士团队、中国人民解放军总医院段伟东教授团队建立长期临床及科研合作关系,这将进一步提升团队的肝胆胰疾病诊断和外科治疗水平。