电话:029-87679000(总机)
地址:陕西省西安市西五路157号
邮编:710114
网址:www.2yuan.xjtu.edu.cn
近日,我院普通外科曹罡教授团队历时2小时为一名肝脏巨大占位病变患者顺利实施腹腔镜下解剖性肝段切除手术,患者术后恢复良好,一周出院。

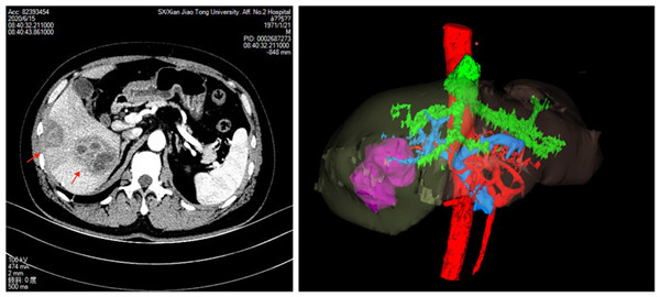
病人CT 病人肿瘤3D重建
某男性患者,49岁,因意外发现肝脏占位病变,辗转多家医院后慕名找到我院普通外科曹罡主任医师,患者在积极完善各种术前检查后,发现肝内占位病变均位于肝脏右叶,经穿刺活检后不能排除恶性可能,经曹罡主任医师、刘阳副主任医师认真评估患者身体及肿瘤状态后与患者充分沟通,决定采用微创技术切除肝脏巨大肿瘤。经术前周密准备和手术规划后,由曹罡主任医师亲自主刀,刘阳副主任医师、王加中医师、陈硕医师作为助手,由麻醉科吕建瑞主任率领,赵亚琴教授、熊虹飞团队保驾护航,在精准中心静脉压的控制下,与手术室赵丽燕率领的张慧、李豪护士的全力配合,成功实施了腹腔镜下解剖性肝段切除术,手术顺利,术中出血量仅为200ml。
解剖性肝段切除是普外科四级手术中难度最大的手术之一,以操作复杂、出血多、创面大、解剖困难著称,在腹腔镜下进行肝叶切除,更是难上加难,是极具挑战性的一项工作,国内仅为数不过的数家医院可以开展。采用腔镜手术方式进行肝叶切除,具有创伤小,潜在副损伤少的优势,符合现代医学快速康复理念,缩短住院周期,减少住院成本,能带给患者更好的就医体验。本例手术的成功实施标志着我院肝脏外科腔镜技术再上新台阶。