电话:029-87679000(总机)
地址:陕西省西安市西五路157号
邮编:710114
网址:www.2yuan.xjtu.edu.cn
近日,心血管病院为88岁高龄老人实施主动脉夹层腔内隔绝术,术后患者恢复良好,现已出院。
一位88岁高龄的老先生,因胸闷、气短等不适状况住进了心血管病院,老人既往有冠心病病史,入院后积极完善各项检查,提示患者D二聚体明显升高,大于10000ug/L,李永勤主任医师敏锐指出需针对此进一步检查,排除有无肺栓塞及相关血栓性疾病。患者行胸痛三联检查后当天,CT室医生打电话联系科室,告知该患者Stanford B型主动脉夹层形成。邓捷主任医师阅片后,考虑该患者夹层撕裂面积大,且症状不稳定,需尽早行腔内隔绝术,以避免夹层进一步扩展危及生命。病情来势汹汹,患者命悬一线,介入治疗是唯一的机会,但患者88岁高龄,一般情况较差,这对手术带来了极大的挑战。反复和患者家属沟通病情后,患者家属选择手术治疗。
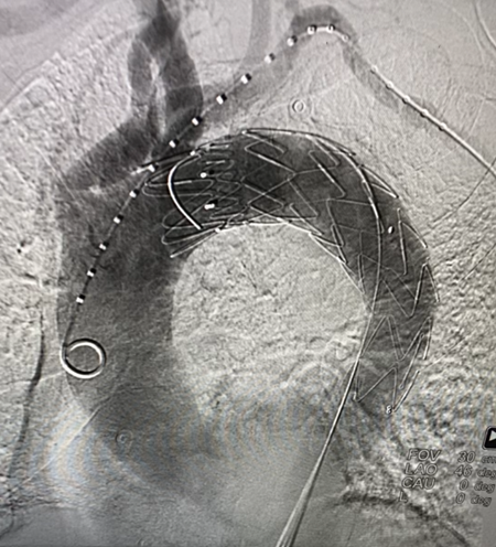
手术由邓捷主任医师、李永勤主任医师、张春艳主治医师、张明医师、张恒医师及介入治疗团队合作完成,在进行局部麻醉后,通过左侧桡动脉置入金标猪尾导管经左锁骨下动脉送至升主动脉,通过右侧股动脉植入覆膜支架,位置确认无误后释放支架。手术成功实施,历时约1个小时。术后患者恢复良好,按期出院。

主动脉夹层是一种急性发病、进展迅速,可能致命的急性主动脉综合征,近些年来,随着影像技术和认识水平的提高,这种疾病的诊断率逐渐提高。我院心血管病院具有扎实的理论基础及临床操作技能,掌握全面的介入诊疗技术,给患者提供精湛的医疗服务,推动了学科的蓬勃发展。