电话:029-87679000(总机)
地址:陕西省西安市西五路157号
邮编:710114
网址:www.2yuan.xjtu.edu.cn
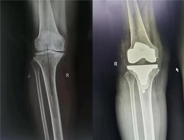
6月9日,由中华医学会骨科学分会候任主任委员、西安交通大学第二附属医院关节外科中心主任王坤正教授主刀,杨佩主任医师、王春生副主任医师、田润副研究员协助,成功完成了我国首例国产髋膝兼容关节手术机器人辅助全膝关节置换手术。

该手术使用的“ARTHROBOT”七轴髋膝兼容关节手术机器人,在术中可对膝关节活动度、下肢对线与关节间隙进行实时评估,依照术中实际情况实时调整规划方案,并按规划精准完成股骨与胫骨侧的截骨,误差控制在1mm与1˚范围以内,实现膝关节个性化、精准化手术治疗。

本次手术机器人“ARTHROBOT”,是国内首款由医生与工科团队基于临床刚性需求合作完成研发、具有完全自主知识产权的首款髋膝兼容七轴协作手术机器人,在第一阶段已完成百余例机器人辅助髋关节置换手术的基础上,突破多个技术难题,再次成功开展了机器人辅助全膝关节置换手术,在关节手术机器人领域成功打破了国外品牌的垄断局面。


随着我国人口老龄化的到来,骨关节炎等疾病的发病率与关节置换手术的需求量逐步上升。2020年,国内共完成关节置换手术超90万例,且每年仍在以20%左右的速度增长。然而,由于医疗资源的分布不平衡与相对匮乏,以及大众对精准化医疗需求的不断扩大,精准而快速的完成每一台关节置换手术显得尤为重要。
对于本次手术的意义,王坤正教授表示,此款用于全膝关节置换的髋膝兼容关节手术机器人从很大程度上改善了目前关节置换手术学习曲线长、精准度不佳的临床痛点。通过关节外科手术机器人的发展推动了整个关节外科领域的进步,希望有更多的医生、企业和科研工作者参与到骨科新技术的研究中,为骨科的发展注入新的血液。