电话:029-87679000(总机)
地址:陕西省西安市西五路157号
邮编:710114
网址:www.2yuan.xjtu.edu.cn
近日,泌尿外科种铁教授团队与心血管外科裴斐教授团队、麻醉科吕建瑞教授团队以及手术室多学科共同努力,顺利完成一例巨大右肾恶性肿瘤合并下腔静脉IV级瘤栓(Mayo IV级)手术,目前患者已康复出院。


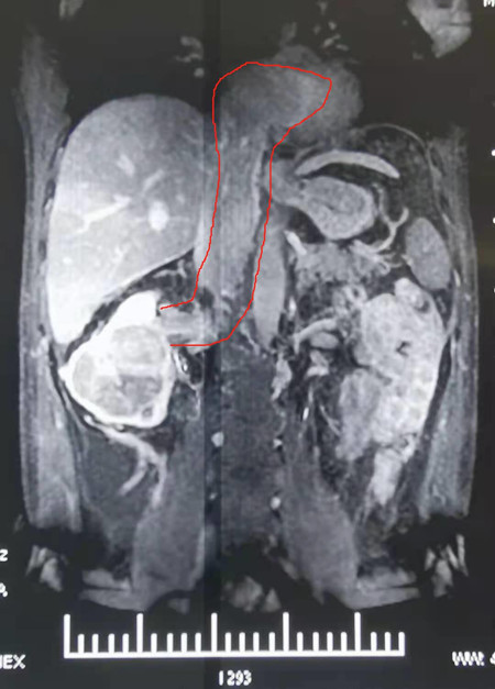
患者梁XX,男,42岁,因“胃胀伴双下肢水肿3月余,体检发现右肾恶性肿瘤伴下腔静脉瘤栓”入院。入院后完善相关检查提示:下腔静脉瘤栓,长约15cm,上端进入右心房,心脏彩超示右心房内可见4.5*3.0 cm低回声团块。入院诊断为:右肾恶性肿瘤伴下腔静脉IV级瘤栓。
考虑患者年轻,病情危重复杂,种铁教授组织多次科室病案讨论,及院内多学科(心外科、麻醉科、普外科、输血科、重症医学科)MDT讨论。种铁教授指出:肾细胞癌是泌尿系统最常见的肿瘤之一,约占肾脏恶性肿瘤的80%-90%。局部进展期肾癌中4%-10%合并下腔静脉癌栓,未经治疗的肾癌合并下腔静脉癌栓患者自然病程短,预后差,中位生存时间约5个月,1年肿瘤特异性生存率约29%。对局部进展期肾癌患者行根治性肾切除及下腔静脉癌栓取出术能有效改善预后,5年肿瘤特异性生存率为40%~65%。手术切除对于大多数患者来说是有效的治疗方式。但仍存在以下诸多问题,例如手术采用完全腔镜下实施还是联合开放,是否需要体外循环,瘤栓处理及预防,术中大出血及DIC风险等等,以上问题如有处置不当,可能会引起严重的术后并发症,甚至术中或术后患者死亡。
为最大程度的降低手术风险,MDT团队反复探讨手术方案,打磨手术细节,针对术中可能出现的风险及意外准备相应的应急预案,制定了周密而详细的术前准备、手术步骤与计划。考虑该患者瘤栓较长,且突入右心房部分体积较大,可能存在取栓时离断脱落可能。种铁教授决定拟实施开放手术切除肾脏及游离暴露腔静脉、左肾静脉、肝血管及腰静脉,同时行体外循环辅助下下静脉瘤栓取出术。

今日在前期的精心准备下,手术在紧张有序、忙而不乱的节奏中开始了。术中可见肾脏周围粘连、水肿比较重,肾门部位增粗的肾静脉,还有周围肿大的淋巴结,增加了手术难度,种铁教授仔细的辨识肾脏周围组织,避免血管及肠管的损伤;谨慎的锐性结合钝性分离,耐心操作,避免副损伤,避免出血。顺利完成的右侧肾脏的游离,下腔静脉、双侧肾静脉、右肾动脉、肝血管及腰静脉的显露。然后在心外科裴斐教授团队建立体外循环辅助下,打开右心房,依次阻断下腔静脉远心端、左肾静脉及肝血管,快速切开下腔静脉,仔细游离瘤栓,完整取栓,取出瘤栓后,缝合腔静脉,整个过程血管阻断15分钟,手术全程出血量不足500ml。术后患者生命体征平稳,恢复情况良好。
腔静脉瘤栓取出术是目前医学界公认的顶尖难度的手术,危手术期死亡率为10%左右。需要在术中暂时阻断腔静脉血流,在极短的时间内取出癌栓并缝合腔静脉创口,要求术者具有高超的手术技巧与强大过硬的心理素质,在国际或国内顶尖医院泌尿外科才有开展此类手术的能力。另外腔静脉Ⅲ、Ⅳ级癌栓的处理还需要普外科、心血管外科以及麻醉科、重症科等相关科室的共同协作。因此,能否开展下腔静脉癌栓取出术已经成为评估医院及科室医疗水平的重要指标。泌尿外科种铁教授团队已广泛开展各级腔静脉癌栓取出术,完成例数稳居国内先进行列。本例手术为近一年内第三例IV瘤栓病例,该类手术的常规化、成熟化开展,再次证明了我院泌尿外科及相关科室的强大综合实力。
西安交通大学第二附属医院泌尿外科是国家重点学科。近年来更是实现了跨越式发展,先后获批“陕西省泌尿外科疾病临床研究分中心”和“陕西省泌尿外科质量控制中心挂靠单位”,对陕西及我院泌尿外科的发展做出了杰出贡献。同时种铁教授率先在院内发起并成立泌尿生殖肿瘤多学科MDT团队,定期行病例讨论、会诊及学术交流,促进我院各学科相关领域的巨大进步和发展。二院泌尿外科人必将本着“仁心仁术 尚德尚医”的理念,不畏艰难、砥砺前行,携手其他相关科室为广大患者的健康保驾护航。