电话:029-87679000(总机)

地址:陕西省西安市西五路157号

邮编:710114

网址:www.2yuan.xjtu.edu.cn

国际版| 员工版| 进入旧版|

消化内科、内分泌科携手微创治疗罕见胰岛素瘤一例

时间:2016-12-26   作者:马师洋 焦杨   责编:傅媛馨     来源:     阅读:

2016年12月23日,我院消化内科、内分泌科联合应用超声胃镜引导下微创消融技术,成功治愈一例胰岛素瘤患者。

该患者曾在多家医院辗转就诊,因其存在与低血糖不相适应的胰岛素水平异常而被怀疑为胰岛素瘤,但常规腹部B超及胰腺CT均未见明显瘤体。1年来,患者时刻警惕低血糖症状发作,夜间需要维持补充葡萄糖,生活痛苦。万般无奈下得知我院曾诊断过类似病例,遂至内分泌科就诊,荆爱玉教授复习患者既往的资料后与消化内科马师洋主治医师沟通,决定安排患者行超声胃镜检查。2016年12月20日在超声内镜检查中发现患者胰腺头部近钩突紧邻门静脉有一1.8x0.8cm肿瘤,高度符合胰岛素瘤特点。

患者与家属因既往脑膜瘤手术史,对于传统外科手术心存畏惧,经过多方权衡讨论后,家属决定转入我院接受超声胃镜引导下细针胰腺穿刺及肿瘤消融治疗。入院后,在全体内分泌科医护人员,尤其是荆爱玉教授、焦杨主治医师、郑乐护士治疗小组的周密工作下完善相关检查,维持血糖浓度。经消化内科王进海主任及内分泌科徐静主任协调,于2016年12月23日上午9时,由消化内科马师洋与史海涛主治医师操作,内镜室李雪荣护士长精心配合,于超声胃镜引导下行胰腺占位穿刺活检,并行无水乙醇消融治疗术。手术操作顺利完成,全程约半小时,术中患者无特殊不适,术后感轻微上腹不适,血糖水平逐渐恢复正常,当日晚7时左右患者上腹部不适消失,停用静脉补充葡萄糖液后,血糖依然维持在6-8mmol/L。术后观察4日,患者未再出现低血糖。

近年来,超声内镜下消融技术应用于胰腺囊性肿瘤与神经内分泌肿瘤的治疗在国外研究中取得了良好的效果,国内刚刚开展,此例系我院首例成功开展的超声胃镜引导下胰岛素瘤消融术,该项技术在国内处于领先水平,相较于传统手术治疗,痛苦小,风险小,可反复操作,具有广泛的应用前景患者目前已经出院,我科将负责后续的随访监测。

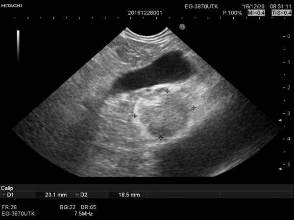
首次超声内镜检查:病变位于胰头近钩突位置,截面椭圆形血供丰富。

图片1_副本.png

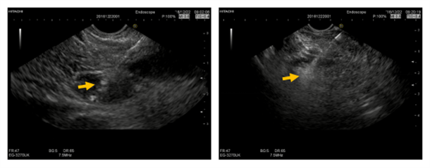
2016.12.22.行FNA穿刺活检与无水乙醇消融术,将穿刺针准确刺入。病变内留取样本送检,超声监控下注射无水乙醇1.6ml。

图片3_副本.png

术后恢复良好:血糖保持正常平稳,胰岛素水平恢复正常

图片5_副本.png

消融4日后复查超声内镜后表现为中等偏高回声病灶,血管消失

图片6_副本.png

分享到: