电话:029-87679000(总机)
地址:陕西省西安市西五路157号
邮编:710114
网址:www.2yuan.xjtu.edu.cn
今年3月,宝鸡的一位老年女性患上了“功能区脑肿瘤”,因手术风险过大,当地医院建议转院治疗,后慕名来到我院神经外科。周任教授诊疗团队接诊后,熟练应用显微外科技术,并辅以电磁导航系统、功能MRI及术中电生理监测等先进手段,在保护患者肢体功能的前提下全切肿瘤,住院2周后患者痊愈出院。

术前影像资料

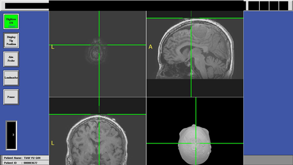
术中应用导航系统进行精准定位
近年来,随着社会的发展,以及医学影像技术的进步和多种高、精、尖技术设备的发明和应用,使得神经外科快速向“精准、微创”的方向发展。微创理念的核心是:在同等疗效的前提下,尽可能保留、保护正常组织结构,从而改善术后舒适度、加速康复,是 “以人为本”的治疗理念。微创手术的实现,基于医生知识、经验、技术的积累,也依赖于先进设备的合理应用。电磁导航系统犹如“大脑里的GPS”,其为手术医生指明了一条治疗病变的“捷径”。电磁导航系统的基本工作流程、原理:术前采集影像信息并经导航系统处理,术中可应用导航探针指向颅内特定部位,在导航屏幕中便会虚拟出探针与颅内结构虚拟的三维对应关系。此功能可让手术医生清楚辨别病变与周围重要结构的毗邻关系。我院神经外科应用的导航系统为最新研发的第三代导航—电磁导航,其相对于第二代光学导航系统优势体现在:1)体积小巧,具有便携性;2)无视觉阻挡;3)不需要参考环;4)导航精确平均影像匹配误差仅1.5-2mm;5)设备兼容性良好,不影响术中应用的其他设备的正常使用。
自2013年我院率先引进西北地区第一台神经外科术中电磁导航系统以来,神经外科已成功开展400例电磁导航系统引导下的微创手术,挽救了患者生命的同时保留了重要的神经功能。
电磁导航导航系统可辅助的手术包括:
1)神经内镜下经鼻颅底手术,如垂体腺瘤、颅咽管瘤等;
2)脑深部或较小病变手术,如胶质瘤、脑膜瘤、转移瘤、松果体区肿瘤等;
3)穿刺、活检手术,如恶性肿瘤诊断等;
4)神经内镜下脑出血的微创手术治疗。
随着西北首家、国际领先的电磁导航系统的进一步成熟应用,标志我院神经外科“精准”理念及“微创”技术均迈上了新的台阶。