电话:029-87679000(总机)
地址:陕西省西安市西五路157号
邮编:710114
网址:www.2yuan.xjtu.edu.cn
困扰了小东(化名)十余年的大脚趾终于不见了,被白衣天使给掰掉了,他好开心,好高兴!
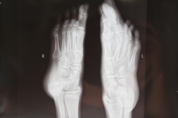
在小东4岁时,他父母就发现小东的左脚大拇指与二拇指比其他脚趾长,当时还没太在意,随着年龄的增长,那两个脚指头明显的比其他脚指头长的快,已经长长的超出的其他脚指头。这给活泼的小东带来很大的烦恼,他再也不敢光着脚丫和小朋友玩了,因为大家会笑他;每次洗脚时都偷偷的藏一边,怕别人看见;每次自己看见那丑陋的脚趾,就想用刀把他砍掉算了。在生活中,无论是走路、还是跑步时,稍不注意,脚抬的低点,大脚趾就会碰地,痛的钻心,而且经常不小心就摔倒。这二个大脚指头给小东带来了很多的烦恼……


小东的父母带他找到了交大二院贺西京教授,经诊断,小东患的是一种罕见的巨趾(指)症。巨趾症是神经生长异常所致,以手指或足趾体积增大为特征的先天性畸形,在四肢先天性畸形中的发生率很低,约为0.9%。表现为某肢体软组织和骨组织均匀增大,体积为正常肢体体积的5倍。畸形生长给患者心理带来压力和痛苦,生活失去自信,严重影响患者的生活质量。贺教授接诊后,带领治疗小组仔细检查,研究小东的影像资料,制定慎密的手术治疗方案。确保功能,防止坏死,纠正外观… 于7月27日成功的为小东施行了巨指畸形矫正术。掰掉了左脚第二趾,重塑脚趾。解除了小东及其父母的烦恼。看着变得美观、好看的脚趾,小东开心的笑了。


手术的成功实施,让小东看到了希望,再也不用担心别人异样的目光,可以穿舒适的鞋子,可以脚踏实地的、有信心的去面对生活,走好人生路。祝小东早日康复!
