电话:029-87679000(总机)
地址:陕西省西安市西五路157号
邮编:710114
网址:www.2yuan.xjtu.edu.cn
“医生,谢谢你们!谢谢!”每当黎一鸣教授组医师查房时,李女士及家人总会露出真诚而质朴的笑容。现年44岁的李女士于1月前出现右上腹不适,自己可于右侧肋骨下触摸到一个质地较韧的包块,没有压痛。这对于一向身体健康,从没有得过大病的李女士来说如同当头棒喝,家里人一时间没有了主意。就在李女士万般焦虑时,有朋友告知其西安交大二附院普通外科黎一鸣教授医疗团队是西北肝胆疾病的权威,推荐其来交大二附院就诊。于是李女士慕名前来我院。门诊上陆宏伟教授接诊了李女士,告知其系肝内胆管细胞癌,肿瘤属晚期,虽然手术难度极大,但会尽全力制定最佳的治疗方案给予其救治,并建议其住院后完善检查,明确肿瘤侵及范围后再制定详细手术方案。遂收住入我院普外科肝胆胰脾病区。
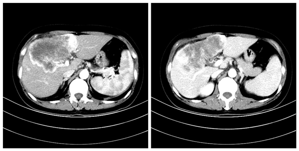
入院后,李女士查上腹部增强CT检查提示:肝左内叶及肝右叶团块状异常强化灶,考虑恶性肿瘤性病变。肿瘤指标:AFP 78 ng/mL,CA199 178 ng/mL。ICG15min 2.2%,其余如肝炎系列等检查均未见明显异常。3D成像提示肿瘤位于肝IVb、V、VI、VIII段,其与门静脉右前及右后分支分叉部(即解剖P点)紧密贴合,另IVb段肿瘤紧贴门静脉矢状部,并有腹主动脉旁淋巴结转移。黎一鸣教授在详细询问病史、仔细查体并阅片后认为:考虑肝内胆管细胞癌侵犯肝右前、左内叶,其与解剖P点关系密切,若行右三叶切除,则剩余功能肝体积不足,需术中仔细分离解剖出门静脉右后支及矢状部,保留肝II、III、VII段以保证剩余功能肝体积充足,手术难度极大。



面对患者极强的求生欲望,黎一鸣教授果断肩负起了此次重担。黎一鸣教授、吉鸿副教授、陆宏伟教授、卢乐主治医师、尚皓住院医师等经过认真讨论,组织科室专家反复研究,制定了严密的围术期治疗计划,并与患者家属充分沟通病情及治疗方案。家属表示理解手术风险,充分信任黎一鸣教授团队的医疗水平,强烈要求手术。万事俱备,遂于2018年4月9日在麻醉手术室、输血科、超声科等医务人员的大力配合下,全麻下为该患者实施了肝内胆管细胞癌切除术。术中发现肿瘤与术前评估一致,肿瘤位于约肝IVb、V、VI、VIII段,大小约30*25*15cm大小,另于肝门部及腹主动脉旁可触及多枚最大约2*1.5cm质硬转移淋巴结。黎一鸣教授在术中仔细比对3D成像结果,精准地将癌肿与解剖P点处及矢状部分离开来,保留了门静脉右后支。最终完整切除了肝IVb、V、VI、VIII段,清扫肝门部及腹主动脉旁淋巴结。保留肝II、III、IVa、VII段,从而保证了剩余功能肝体积。手术历时6小时完成,手术过程顺利,术中术野清晰,术后患者肝功能恢复良好。

肝内胆管细胞癌是公认的肝胆外科试金石,只有最优秀的肝胆外科医生才会对此种高难度手术发起挑战。而此次高难度肝内胆管细胞癌手术的顺利实施,标志着在黎一鸣教授的引领下,我院普通外科肝胆胰脾病区在肝胆疾病领域又迈上了新台阶。