电话:029-87679000(总机)
地址:陕西省西安市西五路157号
邮编:710114
网址:www.2yuan.xjtu.edu.cn
日前,一名经小儿外科高亚教授团队采用磁压榨吻合术治疗小儿食管狭窄患儿的祖孙三代专程从老家赶到医院送来锦旗表达感谢。

该患儿因误食烧碱后出现吞咽困难出现口腔、胸骨后疼痛,口腔充血糜烂,当地医院给予洗胃等处理,伤后3天食管镜检如常,其后开始进食,发现进食顺利;伤后半月起逐渐出现吞咽不畅,逐渐加重偶伴呕吐,诊断为食管狭窄。曾就诊于西安多家大型医院均因诊治难度大未给予明确诊治意见。之后慕名赴交大二附院消化内科董蕾教授处就诊,行内镜下食管球囊扩张治疗多次后反复出现吞咽困难,仅可进全流食。为指定详尽全面的诊治计划,联系并经小儿外科高亚教授同意后于2015年7月收住交大二附院小儿外科。入院后食管造影提示“食管主动脉弓处狭窄,仅残留直径为数毫米的孔洞”;CT及MRI检查提示“食管狭窄部位与主动脉弓分界不清”,初步诊断为食管化学性烧伤后瘢痕狭窄。科室讨论过程中,高亚教授指出该患儿具有手术治疗指征,但常规手术(食管狭窄段纵切横缝、狭窄段切除食管吻合术以及代食管手术)存在种种不足如食管狭窄段纵切横缝术为瘢痕愈合,术后可能发生吻合口漏,食管再狭窄可能性高、且难以扩张治疗,需行狭窄段切除吻合术或代食管手术;本例狭窄段位于食管中段,邻近主动脉弓和左主支气管,因碱性化学性烧伤可能引起食管全层损伤,导致食管与周围组织紧密粘连,贸然施行狭窄段切除食管吻合术手术操作有一定难度,狭窄段切除后如食管近、远端距离长,则无法吻合,或者因吻合口有张力,术后出现吻合口漏及食管再狭窄风险加大。除上述常规手术外,高亚教授复习文献,结合患儿实际病情指出采用食管磁压榨吻合术即内镜下将一块磁铁经口腔置入狭窄段上方食管内,将另一块磁铁经胃造口通过贲门置入狭窄段下方食管内,两块磁铁相互吸引,狭窄部可因磁铁的压迫缺血而致坏死脱落,食管壁增生愈合,从而恢复食管的连续性。完成吻合后磁铁可经肠道自行排出体外或通过内镜取出。此方法相当于食管缓慢扩张 + 食管延长 + 狭窄段切除食管吻合术,具有操作简便、微创的优点。术后亦存在再狭窄可能,但由于原狭窄段已经切除,新吻合口狭窄易于内镜扩张治疗。此外,我校吕毅教授团队有较成熟的成人磁压榨治疗经验,可提供相关技术支持。

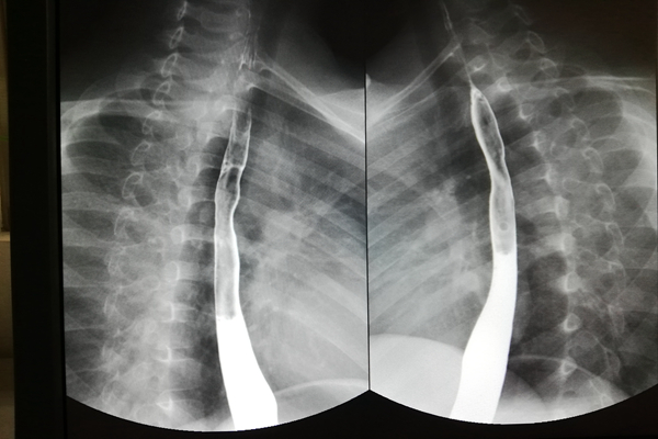
告知并取得患儿家长同意并经过充分的术前准备、多次院内(校内、国内)多学科会诊、院内伦理审查、专门加工吻合器具后,在吕毅教授、董蕾教授团队的协助支持下,高亚教授团队于2015年11月26日率先在国内施行首例磁压榨吻合术治疗小儿食管狭窄,术中操作顺利,时间约60分钟,无手术并发症;术后2周内复查胸片提示磁环未发现磁环异位、扭转、成角、滑脱,且磁环间距逐渐缩小至不足1mm,胃镜检观察食管内磁环对合良好;术后第18天在内镜下借助抓钳的牵拉,磁环顺利脱落进入胃腔并在经导丝牵引下顺利自胃造瘘口处取出,胃镜下探查食管吻合处通畅,无明显狭窄,粘膜光滑无瘢痕形成,无明显渗、出血及食管破裂等。术后复诊间隔1月,来院随访至今共12月,术后间隔1月行食管扩张术、放置支架2次预防再狭窄,胃镜复查未见异常,患儿进食正常,经评估患儿身高、体重均在同龄儿平均水平之上。

在总结该患儿诊疗经验的基础上(余辉,郑百俊,高亚, 等.经消化道腔内磁压榨吻合术治疗短段未完全闭锁小儿腐蚀性食管狭窄[J].中华小儿外科杂志(核心杂志),2018,39(1):35-39.),高亚教授指出自2007年以来,国外(日本、阿根廷、美国)相继报告磁压榨吻合治疗食管闭锁术后食管狭窄10余例,90%以上一次吻合成功,未出现吻合口漏;吻合口狭窄大多数可扩张治疗,疗效满意,其中最长病例已经超过10年;结合该患儿的诊疗实际,磁压榨吻合治疗食管狭窄确实具有微创、安全、有效等优点,值得进一步推广。