电话:029-87679000(总机)
地址:陕西省西安市西五路157号
邮编:710114
网址:www.2yuan.xjtu.edu.cn
一段时间来,压在哈萨克族患者阿丹内心的巨大阴影终于烟消云散。9月5日出院前,阿旦和家人拉着我院泌尿外科薛玉泉主治医师的手,连连说到:“感谢薛医生、感谢国家医疗队!”
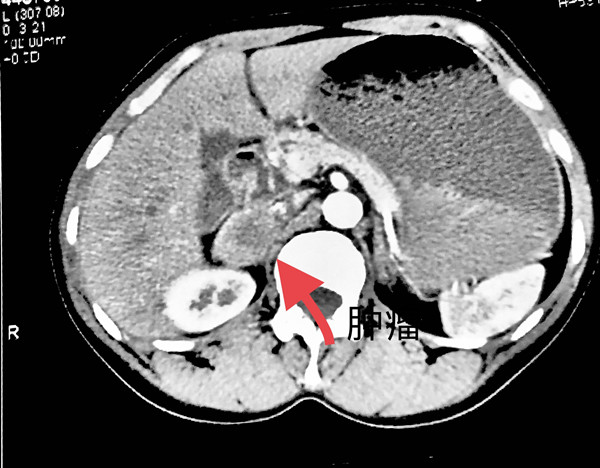
1月多前,阿旦因身体不适前往九师医院检查发现患有肾上腺肿瘤,需要手术治疗。此病术前准备复杂,术中血压波动剧烈,肿瘤位置深在,手术风险较高,泌尿外科刘卫洪主任考虑以往从未开展过此类手术,为求稳妥,建议上转省城大医院救治。但对阿旦来讲,家在额敏县,乌鲁木齐远在千里之外,异地就医的路费、陪护住宿以及住院费用等下来可不是一笔小数目,真是难坏了一家人。
刘主任理解患者的具体困难,想起我院第四批国家医疗队即将进驻,又建议不妨等专家抵达后再行决断,就这样,阿旦在忐忑不安中,满怀期待的住进了九师医院。
此次前来九师医院执行国家巡回医疗任务的泌尿外科专家,是我院薛玉泉大夫。年龄虽轻,但在科主任种铁教授的精心培养下,已成长为一名优秀的泌尿外科医师。初来乍到收到了刘主任准备的这份“见面礼”,薛玉泉并未立即答应,而是先完成了两台当地医院常做的手术。通过手术教学演示,一方面让自己尽快熟悉当地手术设备,另一方面也充分了解九师医院泌尿外科现有技术实力。
一天手术下来,薛玉泉看到了当地医生虽然技术还有不足,但整体软硬件水准应该能够完成一台肾上腺肿瘤腹腔镜下手术。面对阿旦的手术,当地医生最缺乏的,是在教练的指挥下完成最后临门一脚,是术者自身的心理突破!于是,他有了一个大胆的想法:让当地医生主刀,他做“助手”,协助他们实现一次技术上的突破!
这种“手术助手”的本质,是需要给下级医生和主刀者兜底,是要在无论出现怎样的意外情况,都要有泰山崩于前而色不变的定力,以及挽大厦于将倾的能力!在家里,这可是种铁主任的绝活,对于年轻的薛玉泉来说,还真没干过。
薛玉泉将自己的想法同时汇报给了我院泌尿外科种铁主任和医疗队队长孙泓泓主任,寻求科室和医疗队的群体智慧支持。种铁主任收到薛玉群发回的患者相关资料和他对九师医院软硬件情况考察汇报后,专门组织科室成员认真论证后,同意了他的方案,并为这台手术量身定做了详尽的风险预案。医疗队全体成员也连夜进行全队讨论,孙泓泓主任医师仔细复习了患者全部影像学资料,确保诊断无误,病变位置精准,耳鼻喉科张晓彤主任医师、普通外科徐心副主任医师结合自身在九师医院手术室工作的体会,就关键环节和备用设备逐一进行了梳理,其他队员更是对患者全身状态进行了评估。医疗队充分发挥每位队员的专业智慧,群策群力,为手术的最终成功打下了坚实基础。
8月27日上午,由兵团九师医院泌尿外科刘卫洪主任主刀,“助手”薛玉泉从手术入路选择、解剖层面辨别、手术操作步骤、术中注意事项等方面给予全程指导,兵团九师医院首次独立完成后腹腔镜下肾上腺肿瘤切除术。手术过程顺利,用时1小时,出血20ml,术中患者血压平稳,术后患者恢复良好。整个诊疗精准的犹如时钟,一台极具挑战性的手术就这样“风平浪静”的结束了。


这台手术的成功,标志着九师医院泌尿外科的整体技术能力再上新台阶,从中更学习到了一名优秀的外科医师,如何在围术期间精心谋划、谨慎施术、大胆突破的规范路径。接连数天,九师泌尿外科又再接再厉,成功完成多台专业内三四级手术。薛玉泉的优秀表现,很快在全院赢得一片赞誉,被同行称为交大二院派来的“年轻老专家”!
我院国家医疗队在历次巡回医疗中,始终坚持“实现从输血到造血,留下一批带不走的队伍”的工作理念,通过送技术,送管理,送规范,不断提高当地医疗技术水平。这种优质医疗资源下沉,也让当地老百姓在家门口享受到现代医疗技术带来的高效、便捷与舒适。今年是我院初次入疆巡回医疗,医疗队将一如既往扎实勤恳工作,努力提高人民群众就医获得感和幸福感,促进地区民族团结,为祖国七十华诞献礼!