电话:029-87679000(总机)
地址:陕西省西安市西五路157号
邮编:710114
网址:www.2yuan.xjtu.edu.cn
近期,神经外科采用电磁导航及术中超声、电生理监测下为一位高龄功能区颅内占位患者成功施行手术。
患者李某某、男性、79岁、右利手,以“左侧上肢活动不灵2周”为主诉入院,入院后经检查诊断为:右侧顶叶颅内占位。考虑到患者高龄心肺功能较差,完善各项相关检查并经麻醉、心内科会诊后将患者一般状况调整稳定。在巩守平教授、屈建强主任,杨庆余教授的主持下进行了术前讨论,由于病灶位于功能区,术前行脑功能成像,确定病变与重要传导束的关系,患者高龄为了减少损伤,术中行电磁导航定位,量体裁衣确定手术切口,病灶囊性为主,为了确保术中不损伤重要功能区,暴露病变后采用超声确定病变位置,电生理确定重要功能区,然后由非功能区造瘘进入病变切除肿瘤。确定方案后,12月11日在气管插管全麻下行颅内占位切除术。

术前颅脑核磁共振

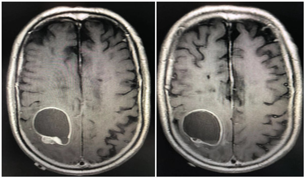
术后头颅CT
手术由巩守平教授主刀、许刚副主任医师、僧志远住院医师协助,薛荣亮教授、藤云鹏主治医师麻醉。手术有条不紊,首先通过电磁导航确定手术切口,然后宋琴主管护师留置电生理电极,打开硬脑膜后行脑表超声确定病变位置,再行皮层翻转确定中央前后回的位置,确定位置后,巩守平教授并未在距离病变最近的皮层切开脑组织,而是先在非功能区造瘘后由非功能区逐渐进入病灶。病变血供丰富,巩守平教授在显微镜下通过娴熟的显微外科技术,一点一点的仔细切除,最终病变被完全切除。
神经外科近年在术中脑功能保护方面取得了长足的进步,从追求病变的完全切除,到脑功能最小损伤的病变完全切除。目前,充分利用术中导航、超声及电生理监测等手段,确保手术更加安全、精准已是神经外科手术的常态。