医院概况
医院简介
组织机构
领导团队
联系我们
就诊服务
预约挂号
专家出诊
体检服务
医保服务
护理到家
就诊须知
就医流程
多学科诊疗
特色医疗
来院交通
住院指南
价格公示
科室导航
内科系统
外科系统
医技•平台
病院•中心
专家介绍
内科系统
外科系统
医技•平台
病院•中心
新闻中心
医院要闻
综合新闻
科室动态
人文关怀
媒体二院
公告
数字院报
医护工作
医疗动态
护理动态
医学教育
本科生教育
研究生教育
住培专培
继续教育
教学之窗
规章制度
下载专区
科学研究
科研动态
科研管理
学科建设
重点学科
医工交叉
中西医协同旗舰医院
信息公开
医院概况
医院环境
行风建设
医疗服务
财务信息
招标采购
采购公告
中标公告
人才招聘
电话:029-87679000(总机)
地址:陕西省西安市西五路157号
邮编:710114
网址:www.2yuan.xjtu.edu.cn
国际版
|
员工版
|
进入旧版
|
医院概况
医院简介
组织机构
领导团队
联系我们
就诊服务
预约挂号
专家出诊
体检服务
医保服务
护理到家
就诊须知
就医流程
多学科诊疗
特色医疗
来院交通
住院指南
价格公示
科室导航
内科系统
外科系统
医技•平台
病院•中心
专家介绍
内科系统
外科系统
医技•平台
病院•中心
新闻中心
医院要闻
综合新闻
科室动态
人文关怀
媒体二院
公告
数字院报
医护工作
医疗动态
护理动态
医学教育
本科生教育
研究生教育
住培专培
继续教育
教学之窗
规章制度
下载专区
科学研究
科研动态
科研管理
学科建设
重点学科
医工交叉
中西医协同旗舰医院
信息公开
医院概况
医院环境
行风建设
医疗服务
财务信息
招标采购
采购公告
中标公告
人才招聘
国际版
|
员工版
|
进入旧版
新闻中心
首页
>
新闻中心
>
综合新闻
医院要闻
综合新闻
科室动态
人文关怀
媒体二院
公告
数字院报
09-15
2022
世界嗅觉味觉日耳鼻喉科举办学术研讨会
2022年9月14日,是第二个世界味觉嗅觉日,它的设立是为了引起公众对嗅觉味觉障碍性疾病的关注。嗅觉味觉障碍是新冠肺炎、帕金森、阿尔茨海默症等疾病的早期临床症状之一,鼻腔炎症、外伤后、病毒感染等都可能会引起嗅觉味觉障碍。...
09-15
2022
2022-2023学年第一学期新任理论授课教师教学能力评估活动圆满举行
为进一步加强师资建设,提升临床教师教学水平,夯实理论授课基本功,保障第一课堂教学质量,我院于8月30日、8月31日、9月9日分别在第三教室、第一教室和讲学厅对2022-2023学年第一学期付德来等10名新任理论大课授课教师教学能力进行了全面考核、...
09-14
2022
医务部组织召开中央专项彩票公益金支持罕见病诊疗水平能力提升项目启动会
为了进一步提升罕见病诊疗水平和实施能力,提高罕见病患者诊疗质量和满意度。根据国家卫健委医政医管局9月2日视频会议精神,医务部于9月9日下午组织召开中央专项彩票公益金支持罕见病诊疗水平能力提升项目启动会,我院小儿内科、...
09-14
2022
加强中心建设 提升救治能力——医务部组织召开医疗质量安全培训
2022年9月8日下午,医务部 组织召开了“心脑血管急危重症救治”专项培训。本次培训通过腾讯会议在线直播的形式进行,邀请了神经内科主任张桂莲教授和心血管内科高登峰教授,全院各科室共100多名医师代表参加。 张桂莲主任讲解的题目为缺血性脑血管病的诊疗,...
09-14
2022
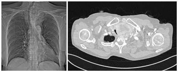
多单位多科室通力合作 胸外科精操作除沉疴
近日,我院胸外科应用4D打印气管外支架完成了一例高难度的手术,为患者解决了40多年未能解决的沉疴痼疾。 61岁的贺阿姨在十几岁时曾因为甲状腺疾病做过1次手术,遗憾的是因当时技术所限,肿瘤并未切除干净,此后的40余年,...
共13710条
首页
上页
1
...
1046
1047
1048
1049
1050
...
2742
下页
尾页
第
/2742页
跳转