电话:029-87679000(总机)
地址:陕西省西安市西五路157号
邮编:710114
网址:www.2yuan.xjtu.edu.cn
近日,我院心血管病医院副主任韩振华、王新宏副主任医师的心脏瓣膜团队,成功为一名风湿性心脏病联合瓣膜病(主动脉瓣重度狭窄伴重度反流)合并冠脉严重病变患者实施一站式经导管主动脉瓣膜置换术(TAVR)+经皮冠状动脉支架植入术(PCI)。患者术后第2日即可下床活动,胸闷、气短等不适较前明显减轻。
患者张先生,71岁,10余年前因活动后胸闷、气短在外院行心脏超声诊断风湿性心脏联合瓣膜病,建议外科换瓣手术,患者拒绝。1月前活动后气短明显加重,伴夜间端坐呼吸,双下肢水肿,外院给予纠正心衰等治疗,因症状缓解不明显转入我院。行心脏超声提示:主动脉瓣重度狭窄(瓣口面积0.3cm2,瓣口流速629cm/s,平均跨瓣压90mmHg)伴大量反流,二尖瓣轻度狭窄伴中-大量反流,三尖瓣大量反流,肺动脉重度高压,双房扩大,左室增大,心包少-中量积液。胸部CT示两肺间质性改变;两肺支气管炎改变;右肺中叶及左肺上叶慢性炎症;两肺多发肺大泡,左肺下叶肺气肿,双侧胸腔积液。冠脉CTA示冠脉多支病变伴钙化。心血管病院郑强荪院长、韩振华主任等组成的心脏瓣膜团队讨论后认为,患者病程长、心衰症状重,加之冠脉病变严重、肺功能差,外科风险大,经与患者及家属充分沟通各种手术风险及获益,患者及家属同意行TAVR+PCI一站式手术。

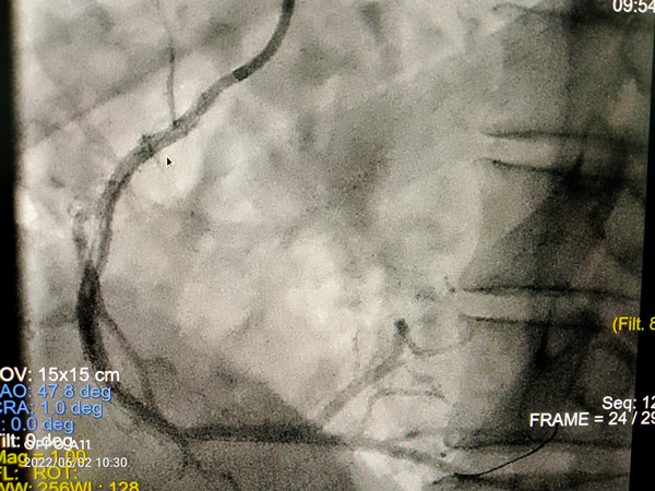
图1

图2

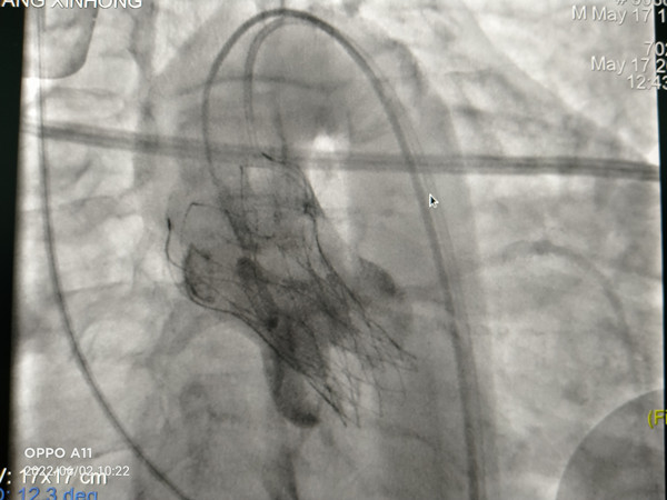
图3
在我院心外科裴斐主任医师,麻醉科刘鹏斌主任医师、罗斌主治医师,超声科韩东刚副主任医师、金鑫主治医师,曹春晖护士长领导的护理团队等多学科协助下,韩振华主任、王新宏副主任医师、刘小军主治医师等先为患者行冠脉造影提示右冠近段95%狭窄(图1),先行PCI干预,右冠植入3.0x22mm支架1枚(图2)。后成功为患者植入TAV24mm VitaFlow瓣膜系统,DSA造影显示主动脉瓣位置良好,未见明显瓣周漏(图3),左右冠脉造影正常,术后即刻心脏超声示最大跨瓣流速129cm/s,最大跨瓣压差7mmHg(图4),顺利结束手术。

图4
主动脉瓣狭窄患者,一旦出现呼吸困难、心绞痛、晕厥等症状,2年内死亡率可达50%,但药物治疗对于主动脉瓣疾病患者症状及预后改善均有限。TAVR手术创伤小,恢复快,住院时间短,适合高龄及难以行外科开刀手术的患者。且其长期疗效、安全性与外科瓣膜置换术类似,安全性好。对于同时合并冠脉严重狭窄的患者,PCI+TAVR一站式手术,既可避免在 TAVR术后,人工瓣膜可能会影响冠状动脉窦,尤其是对于那些冠脉开口位置较低及选择了自膨胀式支架的患者,而这将会明显增加 PCI 手术的操作难度及手术风险;更能减少缩短患者住院时间,减少住院费用。
近年韩振华副主任、王新宏副主任医师的心脏瓣膜团队已为多例主动脉瓣重度狭窄患者成功实施TAVR手术。此次PCI+TAVR一站式手术的成功,是我院心血管病院瓣膜病诊治能力及多学科合作能力的再一次体现。为了加快推进心脏瓣膜病诊疗及介入技术的开展,现已设立心脏瓣膜病专病门诊。