电话:029-87679000(总机)
地址:陕西省西安市西五路157号
邮编:710114
网址:www.2yuan.xjtu.edu.cn
近日,我院胸外科成功完成2例肺恶性肿瘤术后复发/转移肿瘤的冷冻消融术。两位患者均恢复良好,目前已出院。
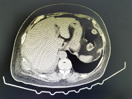
51岁的辛先生和74岁的汪女士均为我院胸外科的肺癌术后随访6年的老患者,辛先生在上月体检时行胸部CT检查发现自己的右侧肺部竟再次长出一个直径约1.5cm的混合磨玻璃结节,而汪女士在近1年来出现右侧胸腹壁疼痛症状,复查胸部CT及骨扫描发现肋骨及胸椎癌转移。出现新发结节令辛先生寝食难安,查出骨转移更是令汪女士惶恐失措。为寻求治疗,两位患者再次来到我院胸外科李少民教授处就诊。
考虑到两位患者均经历过手术的疼痛及术后化疗的折磨,本次治疗旨在消除病灶减轻患者痛苦,提高生存质量。为此,经过详细地评估及充分地沟通后,李少民教授为患者制定了“冷冻消融”的治疗方案,其中辛先生的病灶位于肺野外围适合CT引导下冷冻消融,汪女士的病灶位于肋骨及椎体,更适合超声引导下冷冻消融。
经过周密术前准备后,由胸外科李少民教授、马跃峰副主任医师、马震川主治医师,在放疗CT定位室、超声科的严密配合下为两位患者分别实施了CT引导下、超声引导下的肿瘤冷冻消融术。经过反复地定位及精准地穿刺,团队顺利将冷冻消融针置入肺结节中,经过重复2个循环的“冷冻-复温”,肿瘤经冷冻消融后变成了“冰块”。手术历时约半个小时,患者反应良好,没有明显疼痛及胸闷气短。



“冷冻消融”是近年来兴起的一项新的肿瘤微创治疗技术,相较于微波消融、射频消融等热消融而言更为温和,局部毁损范围更为精确局限,患者痛感大大减弱,因而在晚期转移性肿瘤、复发肿瘤治疗中具有无可替代的优势,在早期良恶性未定的肺小结节治疗中也有重要治疗价值。西安交通大学第二附属医院胸外科已成功开展超声引导下肺肿瘤冷冻消融、CT引导下肺肿瘤冷冻消融、胸壁肿瘤冷冻消融等多种冷冻消融技术。此外胸外科团队还常规开展了肺肿瘤的微波消融、射频消融等多项微创消融技术,积累了丰富的经验。