电话:029-87679000(总机)

地址:陕西省西安市西五路157号

邮编:710114

网址:www.2yuan.xjtu.edu.cn

国际版| 员工版| 进入旧版|

神经介入再显神威,成功救治急性后循环多发脑梗死患者

时间:2022-11-17   作者:神经内科   责编:傅媛馨     来源:     阅读:

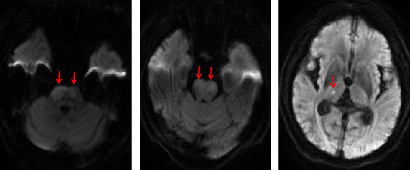
患者洪某,男,68岁,既往长期高血压病史,控制不佳。9小时前晨起时出现头晕伴行走不稳,未重视。5小时前突发意识不清,四肢不能活动,大小便失禁。接诊患者后急诊科、神经内科、影像科及检验科等立即启动脑卒中绿色通道,第一时间完成头颅磁共振,明确诊断急性后循环多发脑梗死,脑桥双侧受累。

图片1.png

图1 头颅磁共振,明确诊断急性后循环多发脑梗死,脑桥双侧受累

患者已处于重度昏迷。神经内科介入小组(高震主治医师、瞿慧阳医师、张倩护士和蒋鹏鹏护士)和当天值班二线李燕玲主治医师第一时间赶到现场,协同完成术前准备并推入导管室。消毒-铺巾-穿刺-超选-打药,脑血管造影显示患者大脑前部血管均为烟雾血管,没有主干,唯一赖以生存的椎基底动脉完全堵塞。

图片2.png

图2 颈动脉末端闭塞,血管呈烟雾样表现,椎基底动脉堵塞

患者命悬一线,刚刚结束一天工作的王虎清教授,用最短时间评估并制定了手术方案。家属态度积极,签字同意手术。高震主治医师和瞿慧阳医师采用经典的抽拉结合动脉取栓(SWIM术式)和球囊扩张技术在20分钟内实现了闭塞的基底动脉完美再通。

图片3.png

图3 采用经典抽拉结合动脉取栓(SWIM术式)和球囊扩张技术在20分钟内实现了基底动脉闭塞完美再通

术后患者即刻意识清楚,能准确交流,四肢可自主活动。术后第3天,自行走出重症监护室步入普通病房,目前正在神经内科进行精细动作康复及控制脑血管病危险因素治疗,预计近日将出院。

后循环脑梗死是指椎基底动脉阻塞导致小脑、脑干和丘脑部位的梗死。轻者头晕恶心,行走不稳,视物成双,重者意识丧失、呼吸心跳骤停,死亡率极高。我院神经内科介入团队在国内领先、省内率先开展急性脑卒中动脉取栓术,是全国百佳取栓先进科室。近年来团队使用高分辨MIR和BPAS-MRI等新技术评估椎基底动脉病变,在椎基底动脉病变狭窄球囊扩张及支架置入、急性闭塞动脉取栓和慢性闭塞再通等方面取得了长足的进步,为大量患者解除了病痛。

分享到: