电话:029-87679000(总机)
地址:陕西省西安市西五路157号
邮编:710114
网址:www.2yuan.xjtu.edu.cn
“感觉压在胸口的大石头终于被搬走了,能自由呼吸的感觉真好。”刚刚从监护室转回普通病房的患者老赵(化名)向前来查房的我院心血管外科高峰主任团队表达了深深的谢意。近日,心血管外科联合多个兄弟科室成功为一名命悬一线的急性大面积肺栓塞患者实施了一场高难度、多术式联合的急诊抢救手术,目前患者恢复良好,拟于近期出院。该患者的成功救治,标志着我院在危急重症心血管疾病,特别是血栓性疾病的急诊综合救治能力达到了新的高度。
患者为54岁的中年男性,入院3周前无明显诱因出现胸闷、气短症状,在当地卫生所按“肺部炎症”治疗后效果不佳。入院4天前患者突发短暂晕厥,此后就诊于当地市医院,行下肢静脉超声提示“右下肢深静脉血栓形成”,肺动脉CTA提示“双肺动脉多发血栓形成”,更危险的是,心脏超声发现患者右心房、右心室内已形成多发活动性血栓,其中最大者达5.1*2.1cm,随心跳剧烈摆动,宛如一颗随时可能脱落、导致患者猝死的“心脏内炸弹”。当地医院紧急为其植入下腔静脉滤器防止深静脉血栓继续脱落导致更大面积的肺栓塞,并迅速转诊至我院。
我院接诊时患者已出现呼吸衰竭及心功能衰竭表现,病情极度凶险。高峰教授指出:“患者已形成完整的‘下肢深静脉血栓--右心血栓--肺栓塞’的危机链条,右心腔内如此巨大的活动性血栓极其危险,它脱落后可瞬间完全堵塞肺动脉主干,引发患者猝死;而目前药物治疗后,呼吸及循环功能仍在进一步恶化,患者已是危在旦夕,唯一的生机在于立即手术清除肺动脉及心腔内的血栓”。
时间就是生命,医院立即启动最高级别的危重症患者绿色通道。心血管外科牵头,紧急联合麻醉科、导管手术室、超声科等兄弟科室组成多学科抢救团队,专家们一致决策必须行急诊体外循环下“肺动脉血栓清除术”,并准备好ECMO(体外膜肺氧合)设备,为术后可能出现的心肺功能衰竭做好准备。
经过紧张而充分准备,抢救手术连夜迅速展开。打开心包后,发现患者右房右室严重肿胀,中心静脉压达38mmHg,血压、氧饱和度高峰主任团队迅速建立体外循环,心脏停跳后切开右心房,探查仅发现右心房内少量血栓,而原心脏超声提示的右心房及右心室内大量血栓已脱落至肺动脉!随即切开肺动脉主干,取出大量新鲜及机化血栓,仔细探查肺叶及肺段分支动脉,尽量清理残留血栓,解除肺动脉血流的“路障”;术中还发现患者三尖瓣瓣环明显扩大,瓣膜重度返流,使用成形环进行了三尖瓣成形。手术过程有条不紊地顺利完成,但由于肺栓塞导致的继发肺动脉高压及右心功能障碍,心脏复跳后患者不出所料地出现右心功能不全,血氧饱和度下降等表现,手术团队当即按术前预案为患者施行了VA-ECMO辅助支持。
术后在心外科重症监护室的精心管理下,患者的心肺功能逐步恢复,于术后第3天顺利撤除ECMO,术后第5天脱开呼吸机并拔除气管插管,从监护室转回普通病房。目前顺利康复中,近日即将出院。

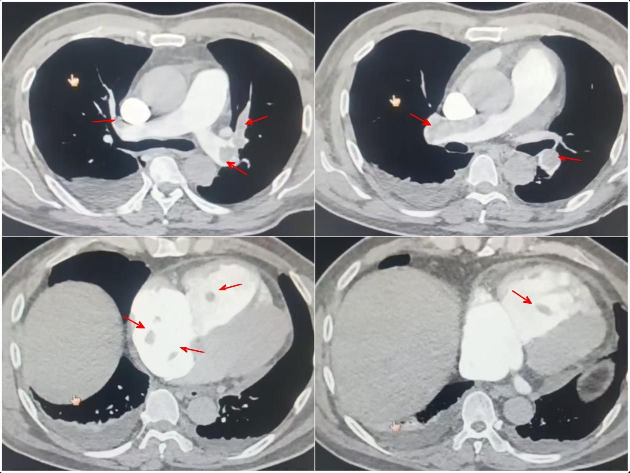
图1 术前肺动脉CTA显示肺动脉及右心房、右心室内血栓

图2 术中取自肺动脉及右心房血栓
高峰教授借此病例特别提醒:“下肢深静脉血栓是潜伏的‘无声杀手’,一旦血栓脱落引发急性肺栓塞,可能导致生命危险。” 他强调,出现不明原因的单侧下肢肿胀、疼痛,或突发胸闷、胸痛、气短、晕厥,务必高度重视,立即就医。对于已发生肺栓塞或存在高危因素的患者,及时、规范地抗凝治疗至关重要。
本例患者的成功救治,堪称一场惊心动魄的“生命保卫战”。它不仅是心血管外科顶尖技术的展现,更是我院从院前识别、快速转诊,到多学科联合决策、高端生命支持技术应用等整套急危重症救治体系高效运作的完美体现,彰显了医院作为区域医疗中心守护人民群众生命健康的强大实力与担当。