电话:029-87679000(总机)
地址:陕西省西安市西五路157号
邮编:710114
网址:www.2yuan.xjtu.edu.cn
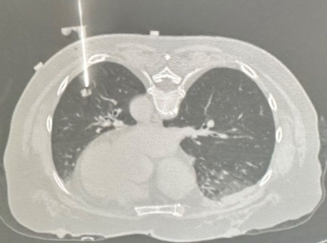
近日,在医学影像科张月浪主任的统筹指导下,非血管介入组刘乐、李健鹏医生成功应用穿刺机器人引导,为两名肺结节患者完成了精准穿刺活检术。这标志着我院在CT引导介入诊疗领域迈入智能化、精准化的新阶段。
CT引导下经皮肺穿刺活检术是一种微创诊断技术,通过在CT实时影像引导下将穿刺针精准送达肺部病灶,获取组织样本进行病理学检查。该方法兼具影像定位的精确性与病理诊断的可靠性,操作简便、创伤小、准确率高,已成为肺部病变诊断的关键手段。然而,传统穿刺模式需分步进针、反复调整,易受呼吸运动、病灶大小、解剖位置等因素影响,不仅对术者技术要求高,也可能增加并发症风险。
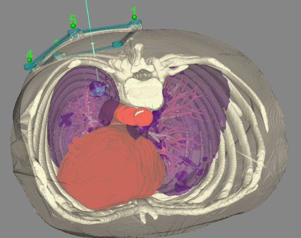
本次完成的两例手术均体现出机器人辅助穿刺的系统优势:患者一为乳腺癌新辅助治疗中,左肺下叶存在10mm微小结节;患者二为右肺下叶后基底段15mm结节。术前通过CT扫描于体表放置定位标记,系统自动识别并重建肺部三维模型,医生据此规划穿刺路径。术中,机器人机械臂在光学导航引导下精准定位,辅助术者将同轴穿刺针一次到位。CT复查确认针尖抵达目标病灶,活检取材满意。两例手术均仅耗时约十分钟,术后仅见少量肺内出血,未发生气胸等并发症,患者无明显不适。


目前,CT引导下的肺肿瘤消融、结节定位及穿刺活检等技术的核心均在于穿刺精度。传统方式高度依赖术者经验,常需多次扫描调针,时间长、辐射多,并发症风险较高。而机器人穿刺导航系统可精准复现规划路径,通过机械臂稳定操作,显著提升首次穿刺成功率,减少血管损伤,缩短手术时间,降低并发症发生率,为提高诊断符合率提供了可靠保障。该系统尤其适用于微小结节、解剖位置特殊(如肋骨遮挡、邻近重要血管及气道)以及下肺病灶的穿刺与消融治疗,有力支持了高难度病灶的精准诊疗。


穿刺机器人的应用不仅是技术手段的升级,更是诊疗理念的重要跨越。医学影像科以此为契机,正积极构建集定位、活检、消融于一体的CT引导介入平台,整合多学科优势,融合人工智能技术,推动肺部病变诊疗向精准化、安全化、高效化方向发展,持续为患者提供更优质的医疗服务。