电话:029-87679000(总机)
地址:陕西省西安市西五路157号
邮编:710114
网址:www.2yuan.xjtu.edu.cn
一、国家发改委领导莅临新疆医院调研国家呼吸区中建设
近日,国家发展改革委社会发展司卫生健康处副处长袁宗威一行莅临新疆医院开展专题调研。自治区卫生健康委党组副书记、主任于爱平,自治区人民医院党委副书记、院长杨毅宁,自治区发展改革委、自治区卫生健康委相关处室负责同志陪同调研,新疆医院党政领导参加调研并汇报工作。调研期间,袁宗威副处长一行先后深入医院咳喘管理中心、中医康复大厅、内镜诊疗中心、临床检验中心、放射影像中心等诊区实地察看医院基础设施建设、学科布局、诊疗服务、科教平台等情况,详细询问学科建设、医教研协同、辐射带动效应等工作细节,直观感受医院运营以来的发展成效。


二、国家呼吸区域医疗中心与西安交大远程智慧医疗平台正式上线
12月25日,西安交通大学第二附属医院远程智慧医疗平台揭幕仪式正式举行。国家呼吸区域医疗中心—新疆医院作为核心单位,通过线上线下联动深度参与,与西安交通大学第二附属医院、洛阳医院共同开启跨区域“协同诊疗、资源共享”新模式,为国家区中高质量发展搭建起高效数字化通道。



在随后的协同实战演练中,三地院区通过平台实时联动,顺利完成线上交班、多学科会诊(MDT)等关键环节:针对复杂病例,三地专家在线实时研讨、共享检查数据、联合制定诊疗方案,原本需要辗转多地的会诊流程,在平台上高效完成;线上交班环节中,三地医护人员实时同步患者病情、治疗进展及注意事项,实现了诊疗信息的无缝衔接。此次演练不仅检验了平台的稳定性与实用性,更体现了协同作战带来的效率提升,为后续常态化开展跨省多院区协作积累了宝贵经验。

三、昌吉市副市长司睿吉·克力木带队参观交流 共话医联体建设
12月11日下午,昌吉市副市长司睿吉·克力木,昌吉市人民医院党委书记张勇、副院长朱联周等一行莅临自治区人民医院白鸟湖医院参观交流。新疆医院党委委员、执行院长韩新生等在家院领导、相关职能部门负责人及驻疆专家陪同参观。
司睿吉·克力木副市长一行先后走进咳喘管理中心、放射影像科、临床检验中心、康复大厅、医养病区等科室及治疗区域,实地察看医院诊疗环境、设备配置与学科建设情况,详细了解重点学科开展、技术特色及医养结合运营模式,对我院现代化管理理念、优质医疗服务模式给予高度肯定。

座谈会上,双方围绕完善医联体体系建设,畅通转诊渠道,提升区域医疗服务能力进行交流,深入探讨了学科共建、资源共享、人才培养等工作,达到凝聚合作共识,放大区域辐射带动效应。

四、乌鲁木齐市政协副主席关爱军一行莅临新疆医院调研指导
近日,乌鲁木齐市政协副主席、市卫健委党组书记关爱军,市卫健委副主任李亚光,市口岸办副主任帕尔哈德・阿木提,市卫健委中医药产业科科长李峰一行莅临西安交通大学第二附属医院新疆医院(国家呼吸区域医疗中心、自治区人民医院白鸟湖医院),围绕中医药入境消费服务贸易融合发展、医养结合服务能力建设等重点工作开展专题调研。
关爱军副主席对新疆医院取得的阶段性成效、清晰的发展规划及医养病区的特色化建设给予充分认可。指出,新疆医院要充分发挥优质康复资源、跨机构协同优势、呼吸及老年特色学科等核心竞争力,深度参与全市健康管理平台建设,推动中医药跨境服务落地见效。强调,市卫健系统及相关部门将全力提供政策支持与资源保障,支持新疆医院在中医药入境消费服务等领域先行先试,打造可复制、可推广的区域样板,共同为乌鲁木齐市卫生健康事业高质量发展赋能。


五、建设策略(五平移、五延伸、一融合)
(一)五平移(科学管理、临床技术、医疗质量、科学研究、教学培训)
1、新疆医院团队荣获第五届VTE防护知识竞赛优秀奖
第五届VTE防护知识竞赛暨防控主题培训活动在西安交通大学第二附属医院举行,本次活动以“众智汇栓 护脉先机”为主题,以“培训+竞赛+交流”的多元形式展开,汇聚西安、新疆、洛阳医疗精锐力量,旨在通过专业赋能与知识比拼,推动VTE防治体系的规范化建设。新疆医院的“V探客”跨学科团队凭借扎实的专业功底、默契的团队配合,在多轮比拼中稳步前行,展现出过硬的VTE防护知识素养与良好的团队协作精神。经过激烈角逐,最终荣获竞赛“优秀奖”。

2、新疆医院领导带队赴经开区中西医结合医院开展深度协作交流
12月23日,新疆医院党委委员、副院长权威带领党委办公室、医务部、护理部负责人及驻疆专家团队,赴经开区中西医结合医院开展交流座谈活动。经开区卫生健康委党组书记任勇出席指导。双方围绕双向转诊机制优化、重点学科共建、医疗技术协同创新、医疗质量同质化管控等关键议题展开深入探讨。
经开区卫生健康委党组书记任勇指出,区域医疗机构深度协作是完善医疗服务体系、提升基层医疗服务能力的关键举措,希望以此为契机,细化合作方案、健全协作机制,在学科共建、技术推广、人才培育等方面持续发力,共同为辖区群众提供更优质、高效、便捷的医疗健康服务。


3、聚焦慢性气道疾病规范化诊疗 助力全疆呼吸学科高质量发展
近日,由新疆医院承办的自治区Ⅰ类继续医学教育项目“慢性气道疾病规范化诊治的新进展”学术会议在乌鲁木齐顺利召开,本次会议面向全国呼吸内科、危重症医学、老年病科等相关专业医护人员,旨在促进新疆地区慢性气道疾病诊疗水平提升,推动规范化、同质化医疗进程。
会议邀请杨晓红、李凤森、陈丽萍、徐思成等国内知名专家学者,围绕慢性气道疾病多个热点与难点展开深入探讨。

新疆医院党委委员、副院长牛灵在致辞中表示,通过学术交流,凝聚专家智慧,共同推动慢性气道疾病诊疗的规范化发展,更好地服务于广大患者健康需求。




4、院校携手 共育人才—新疆医院签约新疆科信职业技术学院实习基地
近日,新疆科信职业技术学院与新疆医院(实习基地签约揭牌仪式在白鸟湖医院举行。医院党委书记、副院长杨玉清与新疆科信职业技术学院党委委员、执行院长杨建明共同签署合作协议并为实习基地揭牌,标志着双方在深化医教协同、推进产教融合领域迈出实质性步伐,为新疆医疗卫生人才培养搭建起兼具实践深度与育人温度的崭新平台。
双方将以实习基地为纽带,在课程共建、师资互聘、教研协同等方面开展深度合作,实现“院校资源共享、人才共育、成果共用”的双赢目标。今后,双方将以实习基地为依托,探索“双导师制”“订单式培养”等创新模式,推动临床实践与课堂教学无缝衔接,为新疆医疗卫生事业输送更多“下得去、留得住、用得上、干得好”的专业技术人才,为守护各族群众生命健康、推进健康新疆建设注入持久动力,在天山南北书写医教协同、共育良才的崭新篇章。


5、新疆医院团队在 第十一届“广州消化道疾病周”健康科普大赛中获佳绩

近日,在第十一届广州消化道疾病周暨第二届健康科普大赛中,新疆医院团队分别荣获优秀奖和优胜奖。
优秀奖

优胜奖

6、新疆医院病理科成功开展首例术中冰冻切片检查
新疆医院病理科在驻疆专家郭睿主任、驻疆技师苏文秀前期充分的设备调试、流程优化与质量管控体系的全面升级下,11月26日手术当日完成首例术中冰冻切片,从驻疆专家副主任医师郭睿的精准取材,到驻疆技师苏文秀的快速制片与染色,再到主任王春与郭睿的共同判读与复核,整个流程环环相扣,严谨高效。团队在确保速度的同时严守质量生命线,最终在关键时刻为临床手术提供了可靠的病理依据,助力外科团队实现精准决策。

(二)五延伸(大学附属医院理念、高精尖技术、质控中心、省市级实验室、教育技术)
1、喀什地区第一人民医院一行来新疆医院座谈交流
12 月 3 日,喀什地区第一人民医院党委委员、副院长阿不都外力・阿不都米吉提、田序伟带领 30 余名业务骨干,赴新疆医院开展座谈交流。
喀什地区第一人民医院是国家感染性疾病区域医疗中心建设依托医院,此次座谈交流搭建起两个国家区域医疗中心协同发展的桥梁,为完善新疆医疗服务体系、缩小区域医疗差距、守护各族群众生命健康注入新的动力。


2、新疆医院举办病案数据质量提升专题培训会
近日,为深化临床科室对DRG(按疾病诊断相关分组)、DIP(按病种分值付费)医保支付方式改革的核心认知,新疆医院举办 “双 D 模式下病案数据质量提升策略” 专题培训会。驻疆专家李明主任亲自授课,共学政策要点、共解实践难题,为医院医疗质量精细化管理与运营效能提升注入强劲动力。
本次培训紧扣医保支付改革核心脉络,以“病案首页数据质量”为攻坚靶点,精准对接临床实操需求,旨在帮助医务人员深刻把握DRG/DIP支付模式的政策逻辑,熟练掌握病案数据填报的规范标准,优化诊疗与质控全流程管理,最终实现“医疗质量升级、运营效能提升、价值医疗落地”的三重目标。

3、构建协同创新体系 开启科研新模式—新疆医院科技创新团队正式启航
近日,新疆医院科技创新团队启动会顺利举行,标志着科技创新工作正式告别“单兵作战”,迈入 “集团军作战” 的协同攻坚新阶段,为区域高质量科技创新研究注入强劲动力。创新团队由驻疆专家王蕾、冯娜、李宇组成的博士智囊团领衔,60名科技创新骨干及青年技术人才组成。
《新疆医院科技创新团队工作方案》,通过“3+3+5”组织运行模式,为团队建设绘制了清晰的行动指南。“3大核心目标”锚定“攻克存量难题、孵化增量项目、培育专业人才”,直击科研工作关键痛点;“3 维实施路径”通过“项目牵引、导师领航、平台支撑”,搭建起从理论到实践、从基础到应用的转化桥梁;“5项保障机制”涵盖经费支持、考核激励、资源共享、学术交流、诚信监管,全方位筑牢科研创新的制度保障。该方案的落地,将推动医院科研工作从“零散化”向“体系化”、从“粗放型”向“精细化”转型,构建起充满活力的科研创新生态。





4、新疆医院首例血浆分离胆红素吸附术点亮重症肝病患者希望
近日,新疆医院重症医学科团队成功为一名重度黄疸患者实施“血浆分离胆红素吸附”治疗,成功遏制了患者持续飙升的胆红素水平,填补了新疆医院在该技术领域的空白,为医院重症肝病救治增添了全新动力。

5、新疆医院胸外科成功完成一例高难度巨大恶性肿瘤根治术
近日,新疆医院胸外科团队凭借精湛医术与多学科协作,成功为左肺巨大恶性肿瘤患者实施胸腔镜下根治术。

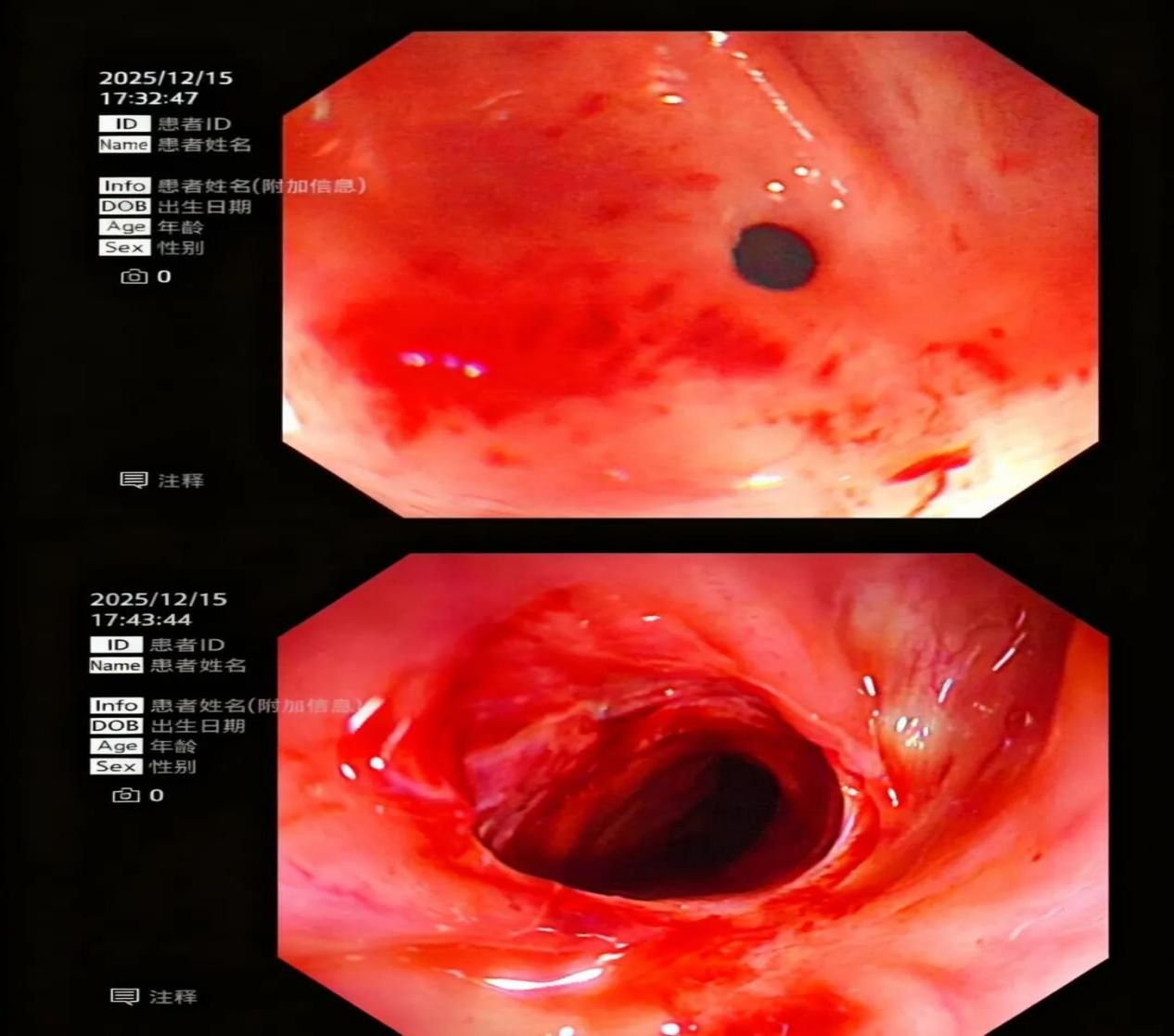
6、新疆医院首例食管胃吻合口狭窄球囊扩张术圆满成功
12月15日,消化科驻疆专家万晓龙主任领衔团队,成功为食管癌术后吻合口狭窄患者实施内镜下球囊扩张术(EBP)。这是新疆医院首例消化道狭窄微创介入手术,不仅为患者重建了进食通路,标志着新疆医院在消化内镜微创治疗领域实现"零的突破"。


7、新疆医院介入诊疗中心启动运行
近日,心血管内科成功完成首例植入式心脏转复除颤器(ICD)植入手术,成功为一名III度房室传导阻滞的82岁高龄患者,实施首例无导线起搏器植入术(Micra AV型)。消化内科驻疆专家万晓龙教授成功开展首例内镜下逆行胰胆管造影(ERCP)胆总管取石术,标志着医院内镜诊疗水平迈上新台阶。
高难度介入诊疗技术的成功开展,标志着新疆医院介入诊疗中心进入快速发展轨道,助力国家区中高质量发展。




8、新疆医院骨科成功应用微创治疗复杂桡骨远端骨折
近日,骨科驻疆专家樊立宏教授带领团队,成功为一名患有严重桡骨远端骨折并伴有腕关节囊环分离、骨质疏松及软组织嵌压的患者,实施了“闭合复位克氏针内固定术”。手术仅通过4根细克氏针,便实现了骨折的精准复位与稳定固定,标志着新疆医院在创伤骨科微创技术领域迈上新台阶。

(三)一融合(医院文化)
1、感悟新疆文化 共赏大美新疆 铸牢中华民族共同体意识—新疆医院驻疆 专家研学活动
近日,新疆医院党委组织驻疆专家,走进中国科学院新疆生态与地理研究所新疆自然博物馆,开展了一场以“感悟新疆文化,共赏大美新疆,铸牢中华民族共同体意识”为主题的研学活动。






2、深学笃行促实干 赋能医疗惠民生—新疆医院召开党的二十届四中全会精神宣讲大会
12月23日,新疆医院组织召开党的二十届四中全会精神宣讲大会。医院党委书记、副院长杨玉清同志主讲,班子成员、中层干部、各党支部书记及党员代表齐聚一堂,共同学习全会核心要义,凝聚守护健康、奋进实干的力量。


后续,医院将以此次宣讲为起点,分层推进全会精神全覆盖学习:各党支部将开展 “支部小课堂” 专题研讨,科室将结合业务工作梳理落实举措;医院官网、公众号也会持续分享学习动态与实践成果,推动全会精神融入国家区中发展的每一个环节。
白鸟湖医院将以党的二十届四中全会精神为指引,把学习成效转化为 “为群众提供更优质医疗服务” 的实际行动,在守护百姓健康、推动国家区域医疗中心建设道路上持续奋进。
3、个个上讲台 人人守初心—新疆医院首期廉政讲堂开讲
12月26日,新疆医院纪委创新开展“个个上讲台,人人守初心”廉政讲堂活动。行政后勤联合党支部书记江静云作为首期宣讲人,为党员干部职工带来了一堂接地气、有温度、强震慑的廉政教育课,持续推进“清廉医院”建设,筑牢全院干部职工廉洁从业思想防线,

4、新疆医院纪委赴川渝医疗机构学习纪检监察工作
12月17日至20日,自治区人民医院党委委员、纪委书记艾合买提·买买提、新疆医院党委委员、纪委书记地力拜尔·热西提带领纪检监察干部一行6人,共同前往川渝地区,走进重庆医药高等专科学校附属第一医院、四川省人民医院、四川大学华西医院开展实地学习交流,扎实推进纪检监察工作规范化、法治化、正规化建设,切实提升纪检干部专业素质和履职本领,






六、驻疆专家风采

万晓龙 副主任医师、驻疆专家
擅长:消化疾病的微创介入治疗,如逆行胰胆管造影(ERCP),食管胃底曲张静脉出血、胃肠道息肉的内镜下治疗,消化道狭窄的球囊扩张、支架置入术等。
社会任职:先后任陕西省内镜学会常委、委员;陕西省医师学会内镜分会ERCP学组常委。
科研成果:核心期刊发表论文10余篇。参编专著4部。开展新技术,新疗法10余项。