电话:029-87679000(总机)
地址:陕西省西安市西五路157号
邮编:710114
网址:www.2yuan.xjtu.edu.cn
近日,西安交通大学第二附属医院胸外科姜建涛主任团队成功为一名 56 岁患者实施经正中入路胸骨劈开纵隔肿物切除术。此次手术难度高、风险大,患者咨询多家医院后最终来到我院下定决心行手术治疗,胸外科团队凭借精湛的医疗技术、默契的团队协作以及科学合理的手术入路选择,让手术过程有惊无险,充分彰显了科室在医疗技术与团队管理方面的卓越水平。

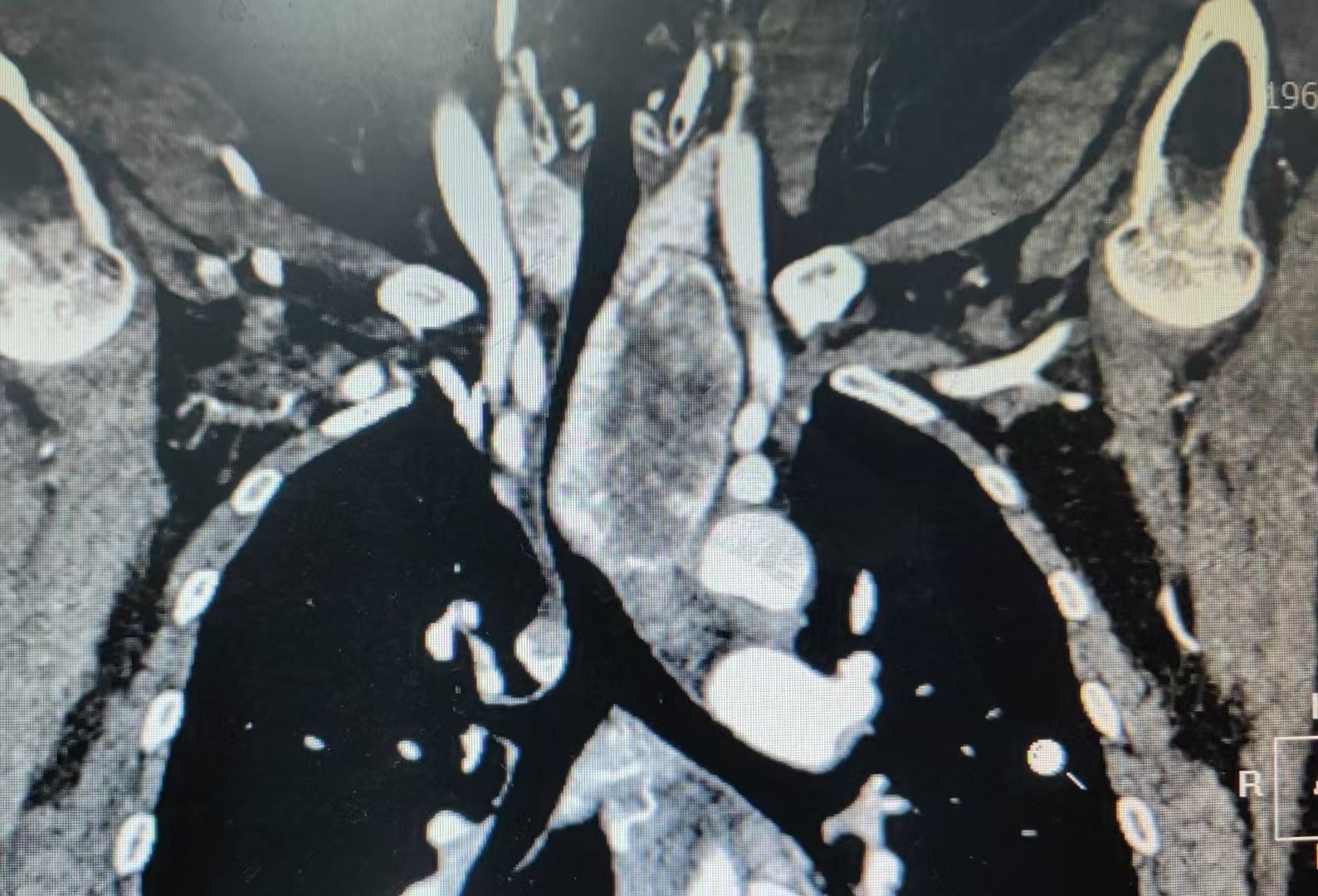
患者3 年前体检发现纵隔肿瘤,近期复查显示,上纵隔、甲状腺左侧叶后下方有一约 78mm×49mm×44mm 的团块状异常强化病灶,邻近气管、食管及主动脉弓分支受压移位,手术空间狭小且周围血管神经丰富,稍有不慎便可能造成严重并发症,对手术团队的技术和心理素质都是极大考验。
面对复杂病情,胸外科团队多次组织病例讨论。经全面评估患者病情,团队精准判断,选择经正中入路胸骨劈开的手术方式。该入路能为术者提供宽阔、直接的手术视野,便于在复杂的纵隔结构中精准操作,术中也证实此入路为该患者最恰当的手术方式。


术中,肿瘤与气管、食管及头臂干动脉毗邻,操作时需万分谨慎。姜建涛主任凭借丰富的经验和娴熟的技巧,成功地分离肿瘤与周围血管、神经等组织;团队成员马跃峰副主任医师、孙良璋主治医师、郭询医师分工明确、配合默契,及时提供术野暴露等支持;麻醉医生精准调控麻醉深度,确保患者生命体征平稳。在团队的紧密协作下,最终成功完整切除纵隔肿物,术中出血少,未出现并发症。
此次高难度手术的成功开展,是胸外科团队医疗技术水平的有力证明,也体现了围术期管理上的科学性与高效性。从病例讨论、手术方案制定到术中各环节的无缝衔接,每一步都彰显着团队的专业素养与协作精神,为今后此类高难度胸外科手术的开展积累了宝贵经验,也为更多患者带来了生命的希望。