电话:029-87679000(总机)
地址:陕西省西安市西五路157号
邮编:710114
网址:www.2yuan.xjtu.edu.cn
“愿医生脚步安稳,救治更多患者。”在我院神经外科病房,一位来自西北少数民族的患者家属将几副手工刺绣的鞋垫交到医护手中。鲜亮的彩线在鞋垫上勾绘出密密花纹,一针一线背后,是一段关于医患间相互信任、勇气和担当的故事。


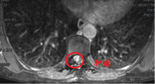
患者李女士(化名)来自西北少数民族地区,罹患胸段椎管内脊膜瘤,此前已在当地医院历经两次手术。近日,患她再次出现行走困难、疼痛难以平卧以及大小便费力,偶有失禁等症。患者首先回到最初就诊的省级医院,胸椎MRI示肿瘤再度复发,鉴于再次手术的难度和风险过高而被建议转院治疗。
几经辗转,患者来到西安交通大学第二附属医院神经外科就诊。郭振宇副主任医师接诊后,详细了解病情,发现“因多次手术,造成肿瘤与神经组织粘连严重,并且椎管腔内外解剖结构不清,再次手术患者瘫痪风险很高,并有可能大小便失禁”。
郭振宇请示上级医师刘重霄教授,并经查体阅片后,刘重霄教授再次给家属讲明了手术意义和风险,家属表示:“我们完全相信你们,医生,我们愿意手术”。随后,在吕健主任主持下,全科进行了深入讨论后,决定为患者进行“第三次手术”。
手术当天,由刘重霄教授主刀,郭振宇副主任医师、黄廷钦博士及朱琳住院医师协助操作,刘斌护师负责术中电生理监测。凭借丰富的经验和精湛的技术,刘重霄教授团队在显微镜下仔细分离脊髓与肿瘤的粘连,采用分块切除方式,尽可能减少牵拉,随后逐步离断肿瘤腹侧基底,最终成功将肿瘤完整切除。
术后第四天,在护理人员的精心护理下,李女士已能下床活动,大小便完全自理,长期困扰患者的疼痛和行走困难得到明显改善。

出院前,李女士家属送上亲手刺绣的鞋垫以表感谢:“这是我们最真挚的心意,愿医生脚步安稳,救治更多患者。”这朴素而珍贵的礼物,不仅代表了患者一家的感激之情,更象征着医患之间可贵的情感连接。愿医生的专业与担当,与患者的信任和托付,彼此相向、共同前行,书写出医患关系温暖而崭新的篇章。