电话:029-87679000(总机)
地址:陕西省西安市西五路157号
邮编:710114
网址:www.2yuan.xjtu.edu.cn
近日,我院呼吸与危重症医学科牵头,联合麻醉科、急诊科等多学科力量,历经数小时精密协作,成功为一名生命垂危的肺泡蛋白沉积症(PAP)患者实施VV-ECMO(静脉-静脉体外膜肺氧合)支持下全麻大容量全肺灌洗术。目前患者已顺利康复出院,日常活动无需吸氧。这是我院首次开展此类高难度手术,意味着我院在呼吸危重症救治、罕见病及疑难病综合诊疗领域的能力有所增强,整体医疗技术水平迈上了新的台阶。

病情危急:六载延误治疗,入院时命悬一线
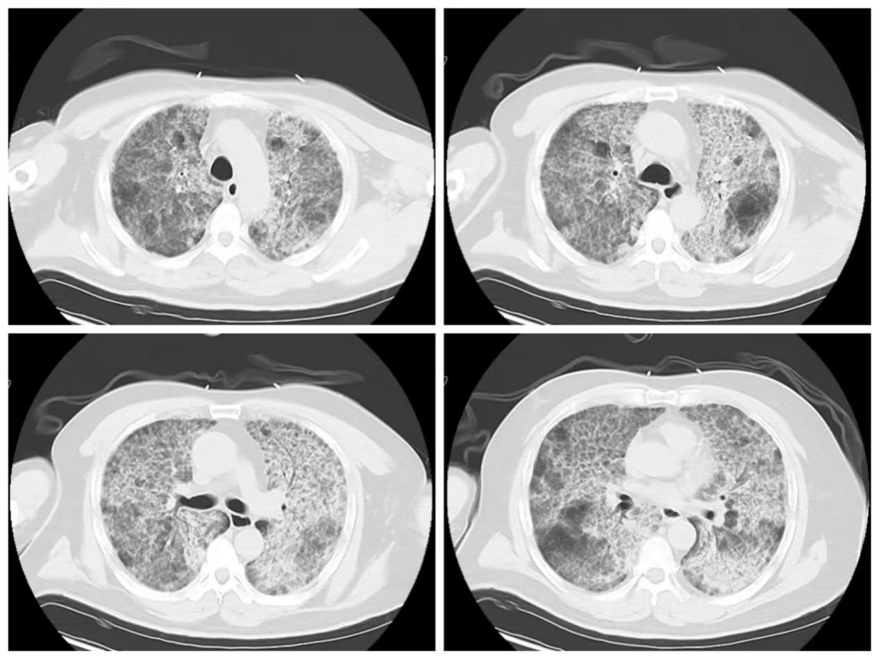
本次救治的患者为50岁男性,早在5年前就因呼吸困难在我院就医,我院呼吸与危重症医学科重症团队凭借丰富的经验很快确诊其为罕见病“肺泡蛋白沉积症”。当时患者已出现呼吸衰竭,动脉血氧分压已低至56mmHg,但患者因个人原因,始终未进行规范治疗及随访,呼吸困难逐年加重。1月前,患者因呼吸困难再次急剧加重,由救护车紧急转入我院。入院时病情极度凶险,鼻导管高流量吸氧指脉氧饱和度仅能维持在70%左右(氧合指数69),生命垂危。收住呼吸与危重症医学科RICU后,方萍主任医师团队立即给予患者无创呼吸机辅助呼吸(吸入氧浓度高达80%),但血氧饱和度仅能勉强维持在88%~90%。胸部CT提示“白肺”,RICU团队成员通过床旁气管镜等检查排除感染,检测患者血清抗粒细胞-巨噬细胞集落刺激因子(GM-CSF)抗体明显升高,进一步明确了“自身免疫性肺泡蛋白沉积症(aPAP)”的诊断。


全肺灌洗前胸部CT
治疗困局:最为有效疗法,常规操作难实施
肺泡蛋白沉积症,俗称“牛奶肺”,是由于肺泡腔内沉积了大量富含蛋白和脂质的物质,导致患者出现进行性呼吸困难与呼吸衰竭。全肺灌洗术(WLL)是治疗该病最有效的方法,即用大量生理盐水将肺泡中的“垃圾蛋白”彻底冲洗。我院呼吸与危重症医学科在全肺大容量灌洗上已积累了丰富经验,成功救治了多名肺泡蛋白沉积症患者。但这位患者目前肺功能已极度衰竭,无法耐受常规全麻下全肺灌洗时的单肺通气要求,极有可能在术中因低氧血症导致心跳骤停。因此,常规全肺灌洗术无法实施。

多学科会诊(MDT):汇聚多科智慧,制定最优方案
面对治疗困局,方萍主任医师团队迅速组织了由呼吸与危重症医学科、麻醉科、急诊科、影像科等科室在内的MDT讨论。专家们经过深入讨论和周密评估,最终达成共识:启用终极生命支持技术——体外膜肺氧合技术(ECMO),为患者的全肺灌洗术保驾护航。
绝境逢生:ECMO护航,20升灌洗液涤荡“白肺”
方萍主任医师团队与患者家属进行充分沟通并取得支持后,一场多学科协作的生命保卫战打响。首先,麻醉科雷晓鸣主任医师和宋正川副主任医师团队为患者实施全麻下双腔气管插管有创呼吸支持,随后呼吸与危重症医学科和急诊科ECMO团队(呼吸与危重症医学科方萍主任医师、邓文静主治医师、樊娜主治医师、刘勇护士、韩青青护士以及急诊科冯辉主治医师等)立即为患者建立VV-ECMO通路并顺利转机,患者氧合情况迅速稳定。随后,手术台上,方萍主任医师、黎蒙护士以及手术室多名医护人员紧密配合,共使用20000毫升37℃生理盐水为患者进行双肺“深度清洁”。灌洗回收液从最初的浑浊“牛奶状”逐渐变得清澈,回收率>90%,快速直观地展现了灌洗的效果。

手术室ECMO支持下大容量全肺灌洗术


全肺灌洗回收液
康复奇迹:重获“新”肺,重享畅快呼吸
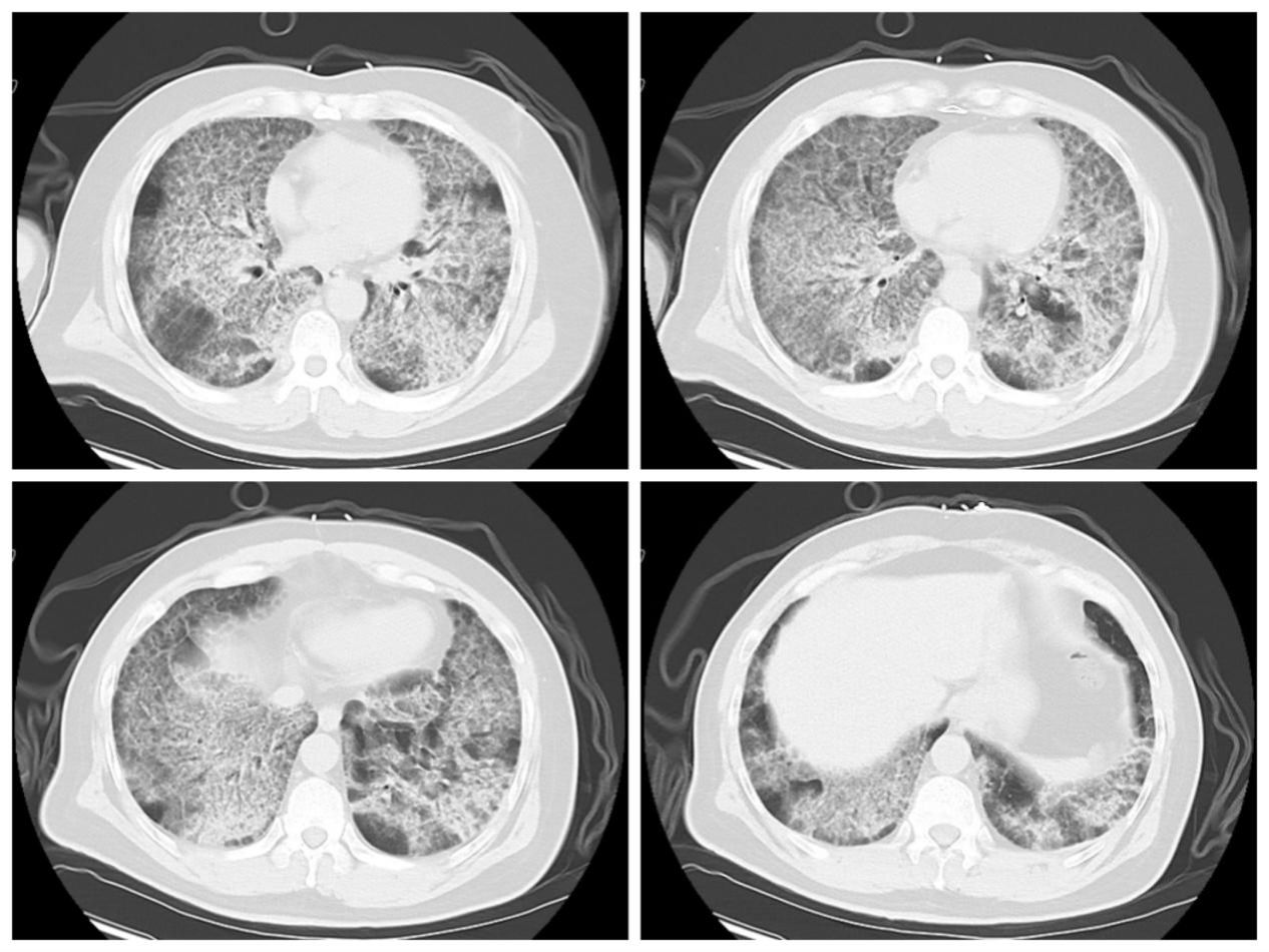
术后,患者在ECMO支持下转入呼吸与危重症医学科RICU继续治疗。在长达11天的ECMO支持期间,RICU医护团队日夜坚守,严密监测,精准调整抗感染、抗凝策略和ECMO、呼吸机支持参数。随着患者自身肺功能逐渐改善,复查血气指标显著好转,胸部CT显示双肺弥漫性阴影较入院时明显吸收。最终成功撤除ECMO,并顺利脱离呼吸机、拔除气管插管。出院时,患者在不吸氧的情况下,血氧饱和度维持在正常水平,活动能力恢复,实现了从“命悬一线”到“行动自如”的生命奇迹。


患者康复训练及出院时


全肺灌洗前后影像资料对比
本例疑难危重症患者的成功救治,不仅是一场与死神竞速的精准博弈,更全方位彰显了我院呼吸与危重症医学科的硬核实力与责任担当,呼吸与危重症医学科监护室(RICU)凭借在重症病情研判、呼吸支持管理、并发症防控等领域的精湛技艺,为患者筑牢了生命防线;麻醉科、急诊科等多学科力量的紧密联动,则充分印证了多学科协作(MDT)模式的巨大优势——通过打破学科壁垒、整合优质资源,为复杂病情制定最优诊疗方案。
本例患者的救治,是我院在呼吸疑难罕见病与危重症诊治、高水平麻醉管理、围术期重症监护等多领域综合实力的集中体现。不仅为今后救治同类极危重呼吸衰竭患者积累了宝贵的临床经验,更标志着我院处理复杂疑难危重症的整体能力迈上新台阶,为守护区域民众生命健康提供更加坚实的保障。