电话:029-87679000(总机)
地址:陕西省西安市西五路157号
邮编:710114
网址:www.2yuan.xjtu.edu.cn
近日,西安交通大学第二附属医院心血管内科心脏瓣膜团队在邓捷主任、王新宏教授的带领下成功为一名身患重度三尖瓣关闭不全瓣膜疾病折磨的患者实施了陕西省首例经导管三尖瓣瓣环成形术。该技术通过应用K-Clip经导管三尖瓣环成形系统,以微创的手术模式实现三尖瓣缩环修复,为三尖瓣重度反流患者尤其功能性三尖瓣反流瓣膜病患者带来新的希望。同时,这项高难度技术的成功开展也标志着我院在结构性心脏病介入治疗领域取得了又一重大突破。
患者赵女士,今年67岁,多年来一直被反复发作的右心衰竭、严重腹胀、纳差及进行性消瘦所困扰,生活质量极差,身心承受着巨大痛苦。经我院心脏团队详细检查,确诊其病因为“重度三尖瓣关闭不全”。由于患者身体状况无法耐受传统开胸手术的高风险,治疗一度陷入困境。面对患者的迫切需求和治疗难题,由心血管内科、心血管外科、麻醉科、超声医学科等多学科组成的专家团队进行了深入细致的评估和讨论。最终,团队一致决定迎难而上,为赵女士实施国际领先的经导管三尖瓣瓣环成形术。
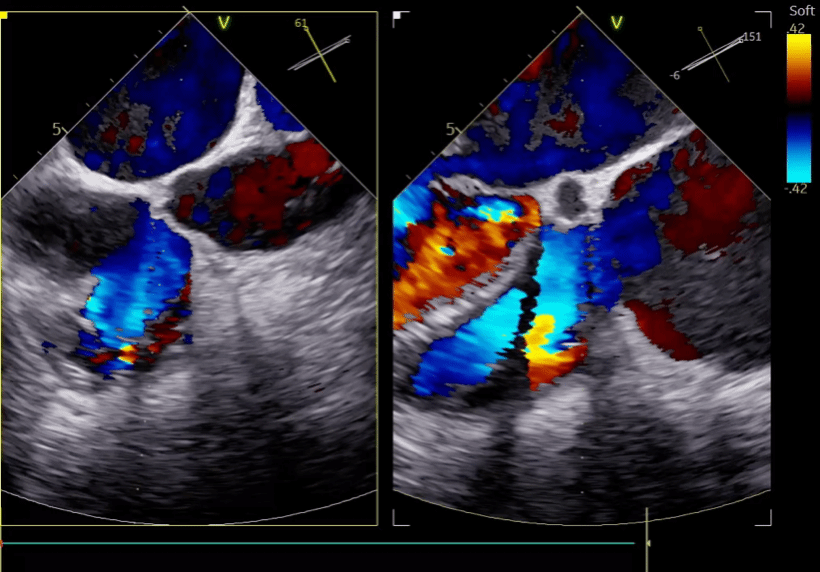
结合术前CT与TEE综合评估,本例患者三尖瓣环严重扩张,反流位置主要集中在前隔瓣叶对合处以及中央处,手术操作难度较高,拟采用两个夹子来缩小瓣环尺寸以改善瓣叶对合,从而降低三尖瓣反流。手术当日,在韩东刚教授精湛的超声技术引导和麻醉团队的密切配合下,邓捷主任、王新宏教授的心脏瓣膜团队术中精准释放两枚K-Clip夹子后,患者三尖瓣瓣环面积明显缩小,瓣叶对合情况显著改善,反流程度由5+降低至2+,成功对严重扩张的三尖瓣瓣环进行了修复和成形。整个手术过程顺利,患者生命体征平稳。

第二枚夹子释放后,三尖瓣反流从术前5+降至2+

DSA下夹合器形态

术后,赵女士恢复良好,困扰她多年的腹胀、气短、吃不下饭等症状得到了很大缓解,精神状态和食欲明显改善,久违的笑容重新回到了她的脸上。康复出院后的赵女士及其家人激动万分,特意制作了一面写有“妙手仁心、医之楷模、医术精湛、深情永记”的锦旗,亲自送到心脏瓣膜团队手中,以此表达对我院医护人员的感谢。

本例手术的成功,不仅解决了一位患者的痛苦,更开启了我院三尖瓣疾病微创介入治疗的新篇章。它充分体现了现代医学微创、快速、高效康复的优势,也彰显了我院作为区域医疗中心,致力于全介入下心脏瓣膜病多学科联合诊疗技术的攀登创新,必将惠及更多省内外的复杂心脏瓣膜疾病患者。