电话:029-87679000(总机)
地址:陕西省西安市西五路157号
邮编:710114
网址:www.2yuan.xjtu.edu.cn

骨科王坤正教授,带领宋金辉副教授、王伟副教授组成的优秀团队,成功将3D打印技术、计算机模拟技术、数字骨科和个体化设计,四项技术序应用,并成功为患者实施手术,效果满意。

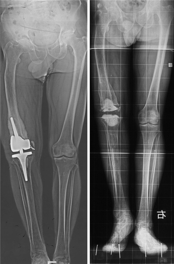
术前X线片
患者男性, 64岁,来我院就诊前已经在外院接受两次膝关节置换,两次假体取出手术,患肢短缩7cm,股骨远端两髁全部吸收,股骨髁上骨干大量纤维骨痂包裹。患者极为痛苦,生活质量极低。另外,很重要的一点,患者经拍股骨全长X光片时发现,左侧股骨中上段内翻畸形。就此病例即使使用普通的定制铰链膝,也无法做到在正确放置假体的同时恢复正常下肢力线和长度。

术前计算机模拟和个体化设计


术后X线片
3D打印技术、计算机模拟技术、数字骨科和个体化设计是骨科未来发展的重点方向之一,这些技术在国际上处于起步阶段,在我国才处于临床摸索阶段。接受这些新的外科理念,可以使骨科手术向直观、可视化发展,符合精准医疗的理念。王坤正教授团队术前利用数字骨科技术三维重建,精确测量;获取数字化钢板及定制假体的数字模型,先后4次计算机模拟手术,最终确定出具有个体化特殊偏心柄的定制铰链膝及最佳手术方案;利用3D打印技术打印患膝关节实体模型,用定制膝关节假体在实体模型上,模拟手术;将实体模型手术模拟及计算机手术模拟中标定的截骨参数对比,结果准确无误。术前计划最终决定采取定制膝关节铰链膝假体,通过设计带有个体化偏心柄假体来达到股骨假体柄正确植入、矫正下肢力线的同时不做额外的关节内、外截骨矫形,股骨端垂直骨髓腔截骨,简化手术操作。术中根据模拟手术时的截骨参数进行膝关节置换,每步手术操作胸有成竹,甚至,通过术前实体模型模拟,可以预知术中两端长骨髓腔骨水泥的位置、厚度。取出的骨水泥与术前的模型骨水泥外形、体积几乎一致。手术截骨做到精确到厘米单位、缩短了手术时间、减轻了手术创伤,顺利完成了常规状态下,几乎无法完成的手术。
作为中华骨科学会副主任委员兼关节外科学组组长、中国骨科医师协会副会长兼关节外科工作委员会主任委员、陕西省关节外科分会主任委员、西安交通大学第二附属医院骨科教授,实施在国内关节外科属于开拓性进展,需要骨科医生不仅具有丰富的临床经验、同应该熟练掌握计算机及工程技术方面的相关知识;更加需要骨科界领军人物的跨学科、跨专业、跨领域的协调能力;需要计算机人才、工程技术人才、假体制造厂家的通力合作。看似一台手术,实际体现了手术团队先进的医疗理念、对先进技术的接纳、推广及应用,是对不断创新、锐意进取精神在骨科学术上的最好诠释。