电话:029-87679000(总机)
地址:陕西省西安市西五路157号
邮编:710114
网址:www.2yuan.xjtu.edu.cn
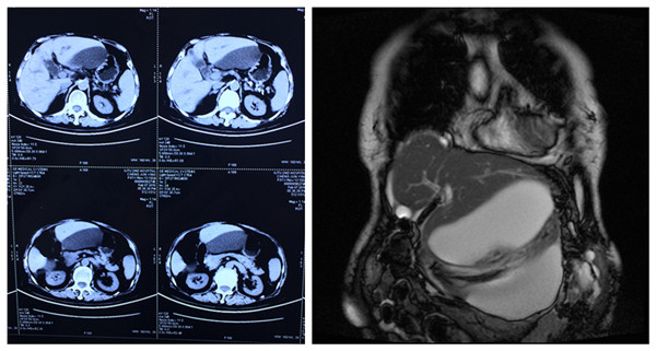
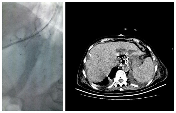
消化内科完成一例经胃壁胰腺假囊肿金属支架引流术,患者系高龄胆总管结石合并胰腺炎患者,并且胰腺炎反复发作并发巨大假性囊肿,腹腔脏器受压迫,引起肠道梗阻以及肾脏血管受压迫,多学科会诊后认为在行进一步治疗前,必须首先解决胰腺假性囊肿压迫问题。经多方协调,在放射科介入手术室的大力配合下,消化内科王进海主任与戴社教教授的指导,由消化内科马师洋主治医师与宋亚华主管护师进行手术操作,在超声内镜与DSA的引导下顺利完成假囊肿穿刺、扩张以及金属对吻支架释放,术后患者腹腔压力明显恢复正常,为后续治疗创造了良好的条件,这是我院首例采用这种特殊支架进行胰腺假囊肿治疗,在国内处于领先水平。

术前

术中


术后