电话:029-87679000(总机)
地址:陕西省西安市西五路157号
邮编:710114
网址:www.2yuan.xjtu.edu.cn
西安交大二附院胸外科于近期顺利完成1例气管肿瘤的手术治疗,现病人恢复顺利。
因气管肿瘤发病率低,麻醉与手术者术中配合复杂,术后护理困难及缺少满意的人工气管等因素限制的气管肿瘤治疗的进展。气管肿瘤占整个上呼吸道肿瘤的2%,比支气管肿瘤少100倍,成人恶性肿瘤较多见,多为鳞状上皮细胞癌和囊腺癌。儿童中则良性肿瘤居多,以血管瘤、纤维瘤和乳头状瘤常见。手术的难度在于:气管全长约10-13cm,伸缩幅度不大,安全切除长度最好在4cm以内,否则重建气管非常困难;术中的通气和术中气管远端通气插管,必要时准备好体外辅助循环装置;气管的切断及吻合不当,易出现气管狭窄及吻合口瘘;术后护理困难,排痰困难,极易继发感染。总之,气管的长度及纵向伸缩度有限、又与心脏大血管毗邻,缺乏理想的替代品,所以气管外科的发展较为缓慢。也是很多医院胸外科的禁区。
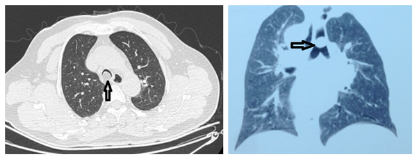
胸外科收治的患者男性,58岁。咳嗽、气短、憋气伴喘鸣1年余。多次复查胸部X线未见明显异常。入我院门诊行胸部CT提示气管膜部近隆突处低密度肿瘤,占据气管4/5,并突向气管后方脂肪间隙。行三维重建亦考虑脂肪瘤可能。

收入院后积极完善相关检查,行支气管镜检查示近隆突气管膜部可见似脂肪物突入管腔,包膜完整,表面光滑,基底较宽,距隆突距离不足1cm。请呼吸内科教授会诊亦考虑气管脂肪瘤可能,因基底较宽不建议行支气管镜下激光切除。麻醉科吕建瑞教授、张小琴教授与胸外科周斌主任、李少民教授及全科医生反复讨论后,一致决定,虽然气管肿物手术难度较大,但是病人病情危重,肿物堵塞管腔80%以上,随时有窒息的危险,如可以手术切除,则预后良好。给予病人及家属充分沟通后,病人同意了手术方案。

经过精心的术前准备和手术方案的设计,李少民教授、张晋、孔冉冉、孙良璋医师的治疗小组于近期实施了手术治疗,虽然胸有成竹,但处理每个环节上仍是小心谨慎,慎防任何意外情况的发生,特别是麻醉转换迅速准确。术中定位较快,暴露气管后可见膜部近隆突处突向纵膈的肿瘤组织,与CT所见相符。横行切开肿瘤远端气管壁,气管远端左侧支气管插管通气保证呼气,将受累2个气管环及瘤体一并切除,取出肿瘤,送术中冰冻活检示良性肿瘤,用可吸收缝线全层、间断缝合气管壁切口。
将患者双侧下颌皮肤牵引于前胸壁,以保证术后患者处于头低位,减少气管吻合口张力,目前患者恢复顺利。