电话:029-87679000(总机)
地址:陕西省西安市西五路157号
邮编:710114
网址:www.2yuan.xjtu.edu.cn
一名老年男性患者,以“右下肢疼痛3月余,左下肢疼痛1月余”之主诉入院。3月前无明显诱因出现右下肢麻木,发冷,活动后加剧,呈间歇性跛行,跛行距离100米,后出现静息痛,且足部出现红斑,足趾发黑,就诊于当地医院,超声检查提示“右下肢血栓,右胫后动脉狭窄”,给予药物治疗症状无明显改善,并出现右下肢远端干性坏疽。1月前左下肢亦出现静息痛,口服药物治疗无改善遂来我院,门诊以“髂股动脉闭塞,右足干性坏疽,左足慢性溃疡”之诊断收治。双下肢查体:左侧股动脉搏动减弱,左胫后,足背动脉波动模糊,左足趾间慢性溃疡。右侧股动脉搏动可,远端肢体发黑,坏疽。既往有腔梗、房颤病史。
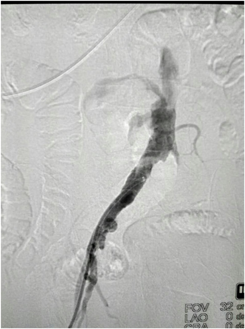
入院后检查,心功能差,肺功能差,低蛋白血症。血管超声提示:左下肢动脉粥样硬化斑块形成并部分血管狭窄,左下肢肌间静脉血栓。我院颈部血管CTA提示左颈总动脉狭窄,左侧椎动脉不显影,左侧锁骨下动脉壁毛糙;腹部CTA提示左侧髂股动脉闭塞段长约14.6cm。经科室讨论,考虑患者年龄大,心肺功能不好,不能耐受全麻血管旁路手术,考虑行局麻下血管腔内手术。




经术前1周精心准备,在科室陈熹主任的统筹协调下,于4月25日下午局麻下在我院介入手术室由普外科马建仓副教授,李宗禹医师在介入室张尚军主管技师配合下完成了普外科首例髂股动脉长段闭塞球囊扩张、支架植入术。术中造影证实左侧髂股动脉闭塞,通过翻山技术从右侧股动脉穿刺入路,导丝顺利通过狭窄病变,球囊扩张后,置入网状支架,使得血管通畅。术后给予双抗,患者静息痛明显改善,换药创面分泌物明显减少,休息明显好转。患者现在正在平稳恢复中。
此次介入手术的开展是乘我院2016年重大新技术项目资助的东风,填补普外科在血管外科疾病尤其是动脉疾病腔内治疗的空白。随着人口老龄化的到来,血管外科疾病严重威胁着人类的健康,腔内治疗为伴随疾病严重的老年患者提供了更多的治疗机会。相信在院方的资助下和大力支持下,普外科在血管外科疾病腔内治疗方面将不断取得更大的进步。